آدرس : شاهین شمالی، روبروی خرم‌شاد. تماس : 02144461471-02144451453

برچسب : افتادن کامپوزیت دندان

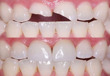
شکستن کامپوزیت دندان یکی از مشکلات رایجی است که افرادی که کامپوزیت را برای ترمیم دندان و ی...

رزرو وقت

جهت دریافت نوبت آنلاین در کلینیک دندانپزشکی سیب‌سفید فرم رزرو را پر کنید تا در اسرع وقت با شما تماس بگیریم.

رزرو وقت

!
!
!