با پرکردن فرم نوبت خود را رزرو کنید.
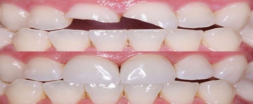
شکستن کامپوزیت دندان یکی از مشکلات رایجی است که افرادی که کامپوزیت را برای ترمیم دندان و یا ایجاد طرح لبخند انتخاب کردهاند با آن دستوپنجه نرم میکنند؛ و اغلب در اثر رعایت نکردن اصول مراقبتی دهان و دندان اتفاق میافتد و یا حتی گاهی با یک بیتوجهی ساده کامپوزیت دندان دچار شکستگی میشود.
اما لازم است در ابتدای مقاله به این نکته اشاره شود که مزیت کامپوزیت نسبت به لمینت، قابل ترمیم بودن آن است؛ پس اگر کامپوزیت دندان شما دچار شکستگی شد اصلا نگران نباشید؛ چرا که به راحتی قابل ترمیم میباشد.
در این مقاله قصد داریم اطلاعات مفیدی درباره عواملی که سبب شکستگی کامپوزیت دندان میشوند ارائه دهیم و همچنین راههای جلوگیری از آن را بررسی کنیم پس با ما همراه باشید.
همانطورکه گفته شد شکستن کامپوزیت ونیر یکی از دلایل اصلی مراجعه افراد به مطب دندانپزشکی است؛ اما بهتر است بدانید که عوامل متعددی در شکستن کامپوزیت تاثیر دارند بنابراین در ادامه به بررسی رایجترین و مهمترین این عوامل میپردازیم:
فشار آمدن به کامپوزیت یکی از علل اصلی شکستن و ترک برداشتن آن است که در اثر خوردن خوراکیهای سفت و فشار آمدن به کامپوزیت میباشد. بهتر است برای جلوگیری از بروز چنین مشکلی آجیلها و خوراکیهای سفت را با دندان نشکنید و یا با آن یخ و آبنبات را نجوید.
افرادی که ورزشهایی همچون هاکی، بیس بال، کشتی، اسکیت، والیبال، بسکتبال و امثال این ورزشها را انجام میدهند بیشتر در معرض شکستن کامپوزیتهای دندان قرار میگیرند زیرا افرادی که در چنین زمینههایی فعالیت میکنند از ضربه، زمین خوردن و... در امان نیستند.
از دیگر دلایل عمده شکستن کامپوزیت، عفونت لثه و پوسیده شدن دندانها است؛ چرا که در اثر عفونت و یا پوسیدگی، مینای دندانها آسیب میبیند و باعث شکسته شدن کامپوزیت میشود. به منظور جلوگیری از عفونث لثه و پوسیدگی دندانها بهتر است دندانها را جرمگیری کنید و مسواک زدن مداوم را فراموش نکنید.
قطعا شما هم میدانید موادی که برای کامپوزیت دندان استفاده میشوند، کیفیت و جنسهای متفاوتی دارند. کاملا بدیهی است هنگامیکه از مواد بی کیفیت برای ساخت کامپوزیت دندان استفاده شود، احتمال شکستن و آسیب دیدن آنها پس از گذشت مدت زمان کمی افزایش مییابد.
مراکز دنداپزشکی زیادی وجود دارند که کامپوزیتها را روی دندان نصب میکنند، اما همه افرادی که چنین خدماتی را ارائه میدهند از تجربه و مهارت کافی برخوردار نیستند. در صورتیکه نصب کامپوزیت به درستی انجام نشود، امکان افتادن و شکستن کامپوزیت افزایش پیدا میکند.
چنانچه به هر دلیلی کامپوزیت دندان شما شکسته شد باید اقداماتی را انجام دهید که در ادامه به تشریح این اقدامات میپردازیم.

آیا میدانید بعد از شکستن و یا ترک خوردن کامپوزیت دندان باید چکار کنید؟
در پاسخ به این سوال باید بگوییم هنگامی که کامپوزیت دندان دچار آسیبی میشود، ذرههای غذا و باکتریها در محل شکستگی جمع میشوند. تجمع این ذرات باعث آسیب به دندان اصلی و پوسیدگی آن میشود؛ بنابراین باید به سرعت ترمیم شود.
اگر هنگام شکستن کامپوزیت ونیر، دسترسی و مراجعه به مراکز دندانپزشکی برایتان مقدور نبود اصلا نگران نباشید؛ چرا که میتوانید اقداماتی در جهت جلوگیری از آسیب به دندان و لثه خود انجام دهید.
هنگامی که متوجه شکستن کامپوزیت دندان شدید بهتر است قطعه کامپوزیت شکسته شده را از دهان خارج کنید؛ سپس روزی ۲_۳ بار آب نمک قرقره کنید. همچنین پس از میل کردن هر وعده غذایی حتما با استفاده از مسواک نرم، دندانهایتان را تمیز کنید.
اگر به هر دلیلی قادر به جدا کردن کامپوزیت دندان نشدید، اصلا جای نگرانی نیست و تنها با چند کار ساده که در ادامه به آنها اشاره خواهیم کرد میتوانید تا زمان مراجعه به مطب دندانپزشکی با این موضوع مدارا کنید.
یکی از کارهای لازم تا زمان مراجعه به دندانپزشکی، جلوگیری از جویبدن غذاهای سفت و محکم است. همچنین اگر به تغییرات دما حساس شدید و یا احساس درد داشتید میتوانید از مسکنهایی همچون استامینفون استفاده کنید.
قطعا می دانید که هزینه خدمات مربوط به دندان تقریبا بالا است؛ بنابراین نگهداری و مراقبت از کامپوزیت دندان از اهمیت ویژهای برخوردار میباشد.
برخی از اقداماتی که سبب محافظت از کامپوزیت دندان و افزایش طول عمر آن میشود عبارتنداز:
استفاده از مسواک نرم، نخ دندان و رعایت بهداشت دهان و دندان تا حد زیادی از شکستن کامپوزیت جلوگیری میکند.
افرادی که ورزشهای سنگین انجام میدهند بهتر است در حین ورزش از محافظهای دندانی به منظور جلوگیری از شکستن کامپوزیت استفاده کنند. این محافظها در داروخانهها موجود هستند و به راحتی قابل تهیه میباشند.
اگر شما هم از آن دسته از افرادی هستید که خوراکیهای سفت و سختی مانند انواع آجیل، آبنات، یخ و... را با دندان میشکنید باید بدانید که خطر شکستن کامپوزیت دندان شما را تهدید میکند؛ بنابراین به هیچ عنوان این کارها را با دندان انجام ندهید.
بهتر است هر۶ ماه یکبار به مرکز دندانپزشکی مراجعه نمایید و سلامت دندانها را مرتبا چک کنید.
جرم گیری دورهای دندانها علاوه بر رعایت نظافت دندانها، سبب جلوگیری از رشد باکتریها، پوسیدگی و شکستن کامپوزیت دندان میشود.
شما با رعایت موارد گفته شده در بالا میتوانید تا حد زیادی از شکستن کامپوزیتهای دندان جلوگیری کنید. همچنین بهتر است برای محافظت بیشتر از کامپوزیتها، از مسواک و خمیر دندان مخصوص استفاده کنید؛ چرا که مسواکهایی که مختص کامپوزیت دندان هستند بافتی نرم دارند و به آنها آسیب نمیرسانند.
برای محافظت هر چه بیشتر از کامپوزیتها شما میتوانید از واتر پیک استفاده کنید. واترپیک دستگاهی است که با استفاده از فشار آب، عمل نخ کشیدن دندانها را انجام میدهد. ناگفته نماند واترپیک غذاهای بین دندان را پاک میکند و باعث ماساژ لثهها هم میشود.
شایان ذکر است اگر رنگ کامپوزیت دندان تغییر کند و روبه زردی برود میتوانید با استفاده از پالیش کردن، رنگ کامپوزیت را دوباره به حالت اولیه درآورید و مجددا زیبایی را به دندانهای خود بازگردانید.
به طور کلی میتوان گفت عوامل بسیاری در شکستن کامپوزیت ونیر تاثیر گذار هستند که با رعایت اصول نگهداری از کامپوزیت دندان میتوانید تا حد زیادی از شکستن آن جلوگیری کنید.
همچنین بهتر است برای جلوگیری از هدر رفتن هزینههایی که برای کامپوزیت کردن دندانهایتان اختصاص میدهید به مراکز دندانپزشکی معتبر مراجعه کنید؛ زیرا مطبها و مراکز معتبر از مواد با کیفیت برای ساخت کامپوزیت استفاده میکنند. همچنین یکی دیگر از مزیتهای مهم مراجعه به مراکز دندانپزشکی معتبر این است که خدمات توسط دندانپزشکان حرفهای و متخصصان به شما ارائه خواهد شد.
| جدول دسترسی سریع، کلیک کنید. |
شرایط اقساط کلینیک سیب سفید به چه صورت است؟ |
جهت دریافت نوبت آنلاین در کلینیک دندانپزشکی سیبسفید فرم رزرو را پر کنید تا در اسرع وقت با شما تماس بگیریم.
شما می توانید با وارد کردن ایمیل در خبرنامه عضو شوید.