آدرس : شاهین شمالی، روبروی خرم‌شاد. تماس : 02144461471-02144451453

برچسب : جراحی لثه ارزان

هر آنچه باید در مورد جراحی لثه بدانید
11 خرداد 1400

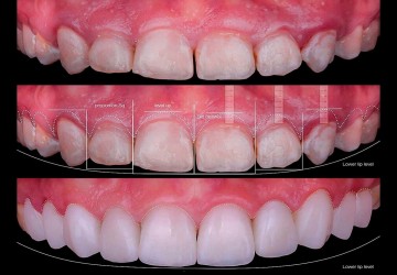
لیفت لثه (Gum Lift) نوعی جراحی زیبایی دندان ها است که در آن دندانپزشک بافت لثه را برمی دار...

رزرو وقت

جهت دریافت نوبت آنلاین در کلینیک دندانپزشکی سیب‌سفید فرم رزرو را پر کنید تا در اسرع وقت با شما تماس بگیریم.

رزرو وقت

!
!
!