آدرس : شاهین شمالی، روبروی خرم‌شاد. تماس : 02144461471-02144451453

هر آنچه باید در مورد جراحی لثه بدانید

لیفت لثه (Gum Lift) نوعی جراحی زیبایی دندان ها است که در آن دندانپزشک بافت لثه را برمی دارد یا به آن شکل جدیدی می بخشد تا قسمت بیشتری از دندان ها پیدا باشند و در نتیجه دندان ها بلندتر به نظر برسند.

هر آنچه باید در مورد جراحی لثه بدانید
11 خرداد 1400
0

هر آنچه باید در مورد جراحی لثه بدانید

خداحافظی با دندان های کوتاه

لیفت لثه (Gum Lift) نوعی جراحی زیبایی دندان ها است که در آن دندانپزشک بافت لثه را برمی دارد یا به آن شکل جدیدی می بخشد تا قسمت بیشتری از دندان ها پیدا باشند و در نتیجه دندان ها بلندتر به نظر برسند. برای بیمارانی که لثه های آنها بخشی از دندان ها را پوشانده و لبخند زیبایی ندارند لیفت لثه می تواند لبخند و اعتماد بنفس آنها را بازگرداند. لیفت لثه که به نام کانتورینگ لثه (Gum Contouring) نیز شناخته شده است می تواند خط ناهموار لثه را اصلاح نموده و لبخند رضایت بخشی به شما ببخشد. کانتورینگ لثه یک روش درمانی ترمیمی سریع است که نتایج فوری را با خود به همراه دارد.

لیفت یا کانتورینگ لثه روشی است که در آن بافت لثه در بالای دندان ها را برمی دارند تا لبخند شما جلوی زیباتری پیدا کند. لثه ها ممکن است به گونه ای ساختار دندان را بپوشانند که دندان های شما کوتاه یا عریض به نظر برسند.

دندانپزشکان حرفه ای و کلینیک های تخصصی با کاربرد لیزر در جراحی لیفت لثه این اطمینان را بیماران خود می دهند که با بهره گیری از آخرین فن آوری لیزر، خطر خونریزی را کاهش داده و به سریع تر بهبود یافتن لثه پس از عمل جراحی کمک کنند.

 همچنین با توجه به اینکه هزینه لیفت لثه با لیزر نسبت به تیغ جراحی کمتر است و خطر ابتلا به عفونت و احساس ناراحتی و درد را به حداقل می رساند، در سال های اخیر با استقبال بی نظیری مواجه شده است.

خوشبختانه چندین روش درمانی برای افرادی که دندان‌های کوتاه دارند، وجود دارد. شما می‌توانید به‌کمک دندانپزشک زیبایی، پس از بررسی علت کوتاهی دندان ها، براساس آنچه به نظرش می‌ رسد و همچنین بودجه‌ ی شما، گزینه‌ ی مناسب را انتخاب کنید.

در این‌جا به چند گزینه‌ی درمانی، برای افرادی که دندانهای کوتاه دارند، اشاره می‌کنیم:

روکش پرسلن: این روکش‌ ها یکی از متداول‌ ترین روش‌ هایی است که دندانپزشکان زیبایی برای درمان افرادی که دندان‌های کوتاه دارند، استفاده می‌کنند. نگهداری از آن‌ها بسیار آسان است و می‌ توانند لبخند شما را به‌ شکلی که شما می‌خواهید تغییر دهند. روکش‌ها به‌ صورت سفارشی برای هر دندان ساخته می‌ شوند و برگشت‌ پذیر نیستند.

تاج پرسلن: تاج‌ها گزینه‌ ی مناسب دیگری برای افرادی است که دندان‌ های ضعیف یا آسیب‌ دیده دارند.

باندینگ دندان: در این روش، یک کامپوزیت ونیر به جلوی دندان متصل می‌شود و نتایجی مشابه روکش‌ های پرسلن ارائه می‌دهد، اما اگر دچار فرسایش مینای دندان شده باشید، این روش گزینه‌ ی بهتری است.

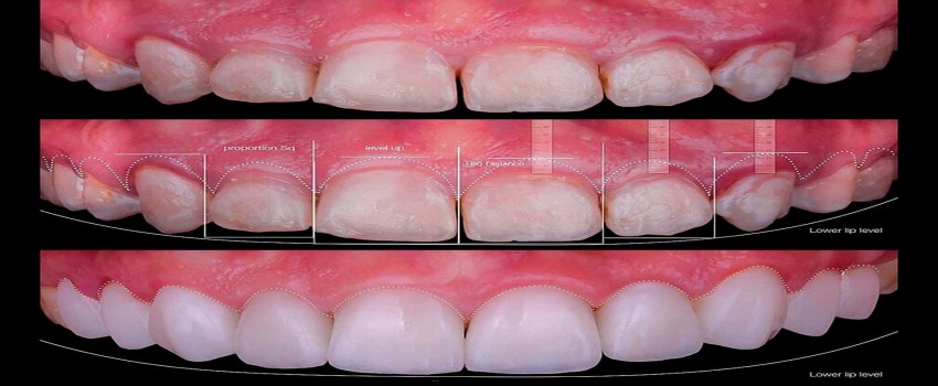
کانتورینگ لثه: اگر دلیل دندان‌ های کوتاه شما، بافت بیش‌ از‌ حد لثه است، کانتورینگ لثه می‌تواند به رفع آن کمک کند. روش‌ های زیادی برای استفاده از کانتورینگ لثه وجود دارد، اما اکثر دندانپزشکان از دیود لیزر پیشرفته، برای برش مقدار بسیار کمی از بافت لثه استفاده می‌کنند. این روش، کمک می‌کند تا دندان‌های شما نمایان شده و بلندتر از گذشته به‌ نظر برسند.

در بعضی مواقع افراد دندانهایی مرتب و صاف دارند اما امکان دارد بافت لثه که بر روی دندانها قرار می گیرد، بیشتر از حالت طبیعی رشد کرده و قسمت زیادی از دندان را بپوشاند.

در برخی حالتها نیز لثه حالت صاف نداشته یا در هنگام خندیدن از خط لب پایین تر میباشد و کاملا دیده می شود در این حالت، افراد داری لبخند زیبایی نیستند که به آن لبخند لثه ای گفته می شود.

در این شرایط دندانپزشکان برای اصلاح خط لثه از کانتورینگ لثه استفاده می کند.

مراحل انجام جراحی لثه

در ابتدا با استفاده از بی حسی موضعی لثه بی حس می شود و سپس به کمک لیزر مقداری از بافت اضافی در لثه بریده می شود و سپس لبه های لثه هایی که بالای دندان هایی که در هنگام لبخند معلوم می شوند شکل دهی دوباره می شوند. با لیزر رگ های خونی لثه بسته می شود تا به این وسیله بافت سریعتر خوب شود و احساس درد کمتری ایجاد شود. هنگامی که شکل دهی دوباره جوابگو و موثر نباشد، باید استخوانی که در جلوی ریشه قرار دارد را کاهش داد. دلیل این امر هم آن است که فاصله ی لبه ی استخوان تا لبه های لثه باید حدودا سه میلی متر باشند. در ضمن اگر کاهش استخوان اتفاق بیفتد، بافت عقب خواهد رفت. درست است که این عمل از لیفت ساده سخت تر است اما اگر توسط یک متخصص و درست انجام شود، تقریبا آسان است.

آیا جراحی لثه با لیزر مضر است؟

در عمل جراحی لثه با لیزر، بی‌حسی موضعی به لثه تزریق می‌شود و با استفاده از لیزر (پرتوی نور متمرکز) بافت اضافی لثه بریده شده و لثه دوباره شکل داده می‌شود. البته زمانی که شکل‌دهی مجدد لثه به تنهایی کافی نباشد، استخوان جلوی ریشه‌ی دندان باید کاهش پیدا کند. علت انجام این کار این است که لبه‌های لثه، باید حدود سه میلی‌متری لبه ‌یاستخوان باشند. اگر استخوان کاهش پیدا کند، بافت عقب می‌رود. این عمل در حالی که مشکل‌تر از لیفت ساده‌ی لثه است، اگر به درستی انجام شود، نسبتا راحت است. کانتورینگ لثه بدون خطر هم نیست. اگر بافت زیادی از لثه برداشته شود، دهان ممکن است هرگز به درستی بهبود نیابد و منجربه تورم شود و به درمان‌های بعدی برای اصلاح این اشتباه نیاز باشد.

لیفت لثه (Gum Lift) نوعی جراحی زیبایی دندان ها است که در آن دندانپزشک بافت لثه را برمی دارد یا به آن شکل جدیدی می بخشد تا قسمت بیشتری از دندان ها پیدا باشند و در نتیجه دندان ها بلندتر به نظر برسند.

برای بیمارانی که لثه های آنها بخشی از دندان ها را پوشانده و لبخند زیبایی ندارند لیفت لثه می تواند لبخند و اعتماد بنفس آنها را بازگرداند. لیفت لثه که به نام کانتورینگ لثه (Gum Contouring) نیز شناخته شده است می تواند خط ناهموار لثه را اصلاح نموده و لبخند رضایت بخشی به شما ببخشد.

کانتورینگ لثه یک روش درمانی ترمیمی سریع است که نتایج فوری را با خود به همراه دارد.

لیفت یا کانتورینگ لثه روشی است که در آن بافت لثه در بالای دندان ها را برمی دارند تا لبخند شما جلوی زیباتری پیدا کند. لثه ها ممکن است به گونه ای ساختار دندان را بپوشانند که دندان های شما کوتاه یا عریض به نظر برسند.

دندانپزشکان حرفه ای و کلینیک های تخصصی با کاربرد لیزر در جراحی لیفت لثه این اطمینان را بیماران خود می دهند که با بهره گیری از آخرین فن آوری لیزر، خطر خونریزی را کاهش داده و به سریع تر بهبود یافتن لثه پس از عمل جراحی کمک کنند.

 همچنین با توجه به اینکه هزینه لیفت لثه با لیزر نسبت به تیغ جراحی کمتر است و خطر ابتلا به عفونت و احساس ناراحتی و درد را به حداقل می رساند، در سال های اخیر با استقبال بی نظیری مواجه شده است.

 

شرایط اقساط دندانپزشکی: 70 درصد از مجموع هزینه دندانپزشکی شما به صورت بلند مدت و تا 10 ماه اقساط  می‌گردد.

برای اطلاعات بیشتر تماس بگیرید:

 453 451 44 -021  و  471 461 44 - 021 

 

همین حالا کلیک نمایید و عکس لبخندتان را برای ما بفرستید. 

تا مشاوره و هزینه‌ی حدودی آن از طرف متخصص زیبایی برای شما ارسال گردد.

(تصاویر به گونه‌ای که 16 دندان جلو مشخص باشد.)

دیگر مطالب مفید کلینیک سیب سفید

0 نظر

ارسال نظر

!
!
ارسال شماره همراه شما منتشر نمی شود.

رزرو وقت

جهت دریافت نوبت آنلاین در کلینیک دندانپزشکی سیب‌سفید فرم رزرو را پر کنید تا در اسرع وقت با شما تماس بگیریم.

رزرو وقت

!
!
!