آدرس : شاهین شمالی، روبروی خرم‌شاد. تماس : 02144461471-02144451453

آخرین مطالب بیماری‌های لثه

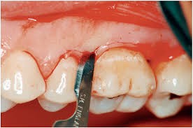
12 درمان خانگی برای خونریزی لثه-درمان طبیعی تورم و خونریزی لثه
15 دی
دسته بندی: بیماری‌های لثه,

بسیاری از مردم بر این باورند که بهداشت دهان و دندان فقط مختص به دندان‌هاست، در صورتی که رع...

کیست دندان و راه‌های درمان آن
10 دی
دسته بندی: بیماری‌های لثه,

کیست دندان معمولاً توده‌ای است حاوی مواد مایع یا جامد که در اطراف دندان به وجود می‌آید. رش...

علل بروز بیماری لثه (پریودنتال) چیست؟
3 آذر
دسته بندی: بیماری‌های لثه,

بیماری پریودنتال یا التهابات لثه‌ای به دلیل عفونت لثه و استخوان اطراف دندان‌ها بوجود می‌آی...

رزرو وقت

جهت دریافت نوبت آنلاین در کلینیک دندانپزشکی سیب‌سفید فرم رزرو را پر کنید تا در اسرع وقت با شما تماس بگیریم.

رزرو وقت

!
!
!