آدرس : شاهین شمالی، روبروی خرم‌شاد. تماس : 02144461471-02144451453

برچسب : ایمپلنت دندان قسطی

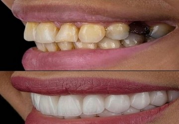
لمینت سرامیکی بدون نیاز به تراش هم وجود دارد به نام لمینت سرامیکی فوق نازک که در مرکز ما ا...

ارتودنسی بزرگسالان
19 مهر 1399

شما می تواند در هر سنی داشتن دندان های سالم و منظم را تجربه کنید، این مسئله به این معناست...

آیا ایمپلنت محدودیت سنی دارد؟
16 اسفند 1399
دسته بندی: ایمپلنت,

ایمپلنت در واقع محدودیت سنی ندارد یعنی هر فردی که بتواند بهداشت دهان خود را رعایت کند و به...

ایمپلنت نکردن چه عوارضی دارد؟
27 تیر 1400
دسته بندی: ایمپلنت,

همانطور که در انیمیشن مشاهده کردید جای خالی دندان از دست رفته در صورتی که مدت زیادی بگذرد...

چرا باید ایمپلنت دندان را انجام داد؟
8 شهریور 1400
دسته بندی: ایمپلنت,عکس opg,

ایمپلنت از سه قسمت تشکیل شده 1.مهمترین جز آن پایه فلزی ایمپلنت دندان از جنس تیتانیوم و...

ایمپلنت بهترین روش درمان برای جایگزین دندان است.
19 دی 1400
دسته بندی: ایمپلنت,عکس opg,

برخی از افراد به هر دلیلی ممکن است دندان های خود را از دست بدهند. همان طور که در عکس بالا...

انجام ایمپلنت بلافاصله بعد از کشیدن دندان
6 اردیبهشت 1401
دسته بندی: ایمپلنت,عکس opg,

ایمپلنت فوری یک روش نسبتا جدید برای جاگزینی دندان از دست رفته است. زمانی که به هر دلیلی شخ...

رزرو وقت

جهت دریافت نوبت آنلاین در کلینیک دندانپزشکی سیب‌سفید فرم رزرو را پر کنید تا در اسرع وقت با شما تماس بگیریم.

رزرو وقت

!
!
!