آدرس : شاهین شمالی، روبروی خرم‌شاد. تماس : 02144461471-02144451453

برچسب : قیمت لمینت

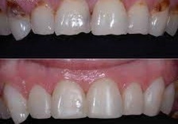
ونیر پرسلن و تغییر شکل لثه با لیزر
20 مرداد 1398

کامپوزیت ونیر: وقتی در مورد امور زیبایی صحبت می کنیم اولین چیزی که به ذهن خطور می کند موار...

مسلما همه افرادی که قصد اصلاح طرح لبخند دارند و یا برای انجام آن اقدام کرده‌اند با کمی تحق...

رزرو وقت

جهت دریافت نوبت آنلاین در کلینیک دندانپزشکی سیب‌سفید فرم رزرو را پر کنید تا در اسرع وقت با شما تماس بگیریم.

رزرو وقت

!
!
!