با پرکردن فرم نوبت خود را رزرو کنید.
در این مقاله به تاثیرات کامپوزیت دندان بر زیبایی دندان ها و لبخند میپردازیم و در این سفر با مزایای بسیار این روش بیشتر آشنا می شویم .
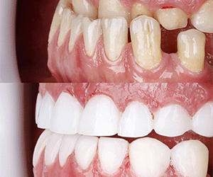
در عرصه زیبایی دندان، اهمیت کامپوزیت دندان نمیتواند نادیده گرفت. این درمان انقلابی در بهبود لبخندها را شکل داده و به اعتماد به نفس افراد افزوده است. با ما در سفری در تاریخ تاثیرات ونیرکامپوزیت بر زیبایی دندان همراه شوید، تا ابعاد آن را کاوش کنیم و رازهای یک لبخند درخشان را فاش کنیم.
انعطافپذیری در طراحی و اجرا
یکی از ویژگیهای مهم ونیرهای کامپوزیت، انعطافپذیری در طراحی آنهاست. این به معنای این است که میتوان به شکل، اندازه، و رنگ ونیرها به صورت دقیقی و با توجه به ترجیحات فردی پرداخت، که این امکان را به پزشک دندانپزشکی میدهد تا یک لبخند سفارشی و منحصر به فرد برای هر فرد ایجاد کند.
بدون نیاز به لابراتوار دندانسازی
نصب ونیرهای کامپوزیت به معنای این است که فرآیند زیبایی دندان با تیم کوچکتری نسبت به روشهای دیگر انجام میشود. این موضوع به تسریع فرآیند و کاهش هزینههای مربوط به این درمان کمک میکند.
پاسخگویی به نیازهای افراد
ونیرهای کامپوزیت به خوبی به نیازهای مختلف افراد پاسخ میدهند. از تصحیحات کوچک تا تغییرات جذرگونه، این روش به افراد امکان میدهد تا ظاهر دندانهای خود را به دلخواه شخصیسازی کنند.
تأثیر مثبت بر اعتماد به نفس
زیبایی دندان یکی از عوامل مهم در اعتماد به نفس است. ونیرهای کامپوزیت با ایجاد یک لبخند هماهنگ و جذاب، ممکن است تأثیر مثبتی بر اعتماد به نفس و احساس کلی شخص داشته باشند.
در نهایت، با توجه به این تأثیرات مثبت، استفاده از ونیرهای کامپوزیت به عنوان یک روش موثر در زمینه بهبود زیبایی دندان توصیه میشود، که باعث افزایش رضایت و خوشحالی افراد از ظاهر دندانهای خود میشود.
درک تکامل زیبایی
شاهد تکامل زیبایی دندان هستید، همانطور که ابعاد مختلفی که توسط ونیرکامپوزیت پوشش داده شده است، باز میشود. از رفع تغییر رنگ تا تغییر شکل، هر جنبه به ایجاد یک لبخند خیرهکننده کمک میکند.
هنر پشت ونیرکامپوزیت
هنر ونیرکامپوزیت را کاوش کنید. این عنوان به جنبه هنری از کاربرد ونیرکامپوزیت میپردازد، بر جلوه هنری کارآمد در این فرآیند تأکید میکند و اهمیت یک اجرا کننده ماهر در دستیابی به نتایج بهینه را مشخص میکند.
افزایش زیبایی طبیعی
ونیرکامپوزیت فراتر از افزایشهای سطحی میرود و با ویژگیهای طبیعی دندانها هماهنگی میکند. این بخش به تداخل بین مواد کامپوزیت و زیبایی ذاتی دندانها پرداخته و نحوه هماهنگی آنها را بررسی میکند.

روند ونیرکامپوزیت چقدر طول میکشد ؟
مدت زمان آن متغیر است اما معمولاً از دو ساعت تا 5 ساعت طول میکشد، به تعداد و نوع پیچیدگی دندان مورد نظر بستگی دارد.
آیا ونیرکامپوزیت برای همه مناسب است ؟
به طور کلی برای بسیاری از افراد مناسب است، اما ممکن است موارد فردی متفاوت باشد که به سلامت دندان های افراد مربوط است . یک مشاوره دقیق با یک دندانپزشک برای تعیین وضعیت بسیار حیاتی است.
آیا ونیرکامپوزیت نیاز به مراقبت ویژه دارد؟
حفظ بهداشت دهان ضروری است. مسائل مرتبط با نظافت دهان، مصرف نخ دندان و مراجعه منظم به دندانپزشک طول عمر ونیر را تضمین میکند.
آیا ونیرکامپوزیت میتواند نقصهای جدی دندان را ترمیم کند؟
ونیرکامپوزیت برای اصلاحات زیبایی از خفیف تا متوسط مؤثر است. موارد شدید ممکن است به ترتیبات جایگزینی نیاز داشته باشد.
آیا روند انجام آن دردآور است؟
بیماران معمولاً احساس کمی درد میکنند. اغلب از بیهوشی موضعی برای اطمینان از تجربه بی درد استفاده میشود.
چه مدت ونیرکامپوزیت ها دوام میآورند؟
با مراقبت مناسب، ونیرکامپوزیت ممکن است تا 10 سال یا بیشتر دوام بیاورد. مراجعات منظم به دندانپزشک به نظارت و حفظ طول عمر ترمیمات کمک میکند.
در پایان، تأثیر ونیرکامپوزیت بر زیبایی دندان به معنای واقعی کلمه از آرایش فیزیکی فراتر میرود. این سفر به سمت اعتماد به نفس، خودبیانی و درآغوش گرفتن زیبایی درونی است. در حین در نظر گرفتن این روش دندانپزشکی تحولآفرین، به یاد داشته باشید که یک لبخند درخشان نه تنها تابلویی در آینه نیست بلکه نمایی از شادی درون است.
| جدول دسترسی سریع، کلیک کنید. |
شرایط اقساط کلینیک سیب سفید به چه صورت است؟ |
جهت دریافت نوبت آنلاین در کلینیک دندانپزشکی سیبسفید فرم رزرو را پر کنید تا در اسرع وقت با شما تماس بگیریم.
شما می توانید با وارد کردن ایمیل در خبرنامه عضو شوید.