آدرس : شاهین شمالی، روبروی خرم‌شاد. تماس : 02144461471-02144451453

برچسب : کامپوزیت قسطی

5 راه تضمینی برای افزایش ماندگاری کامپوزیت دندان
7 اسفند 1400

فاکتور های متعددی در دوام و طول عمر کامپوزیت دندان نقش دارند اما با این وجود می توان گفت ک...

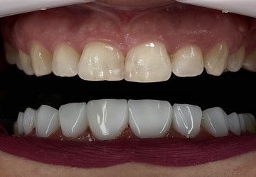
اصلاح طرح لبخند با کامپوزیت دندان
16 اسفند 1400

خوشبختانه امروزه باتوجه به ‌پیشرفت‌هایی که ‌در علم و تکنولوژی و بخصوص ‌در زمینه زیباسازی د...

برای انجام کامپوزیت دندان ها تراش می خورند؟
30 بهمن 1401

گاهی در برخی از موارد مشاهده شده است که بعد از مراجعه برای درمان دندان، نه تنها مشکل حل نش...

آیا می شود رنگ کامپوزیت را تغییر داد؟
16 فروردین 1402

یکی از مهم‌ترین دغدغه‌ها و سوالات مهم افرادی که با استفاده از کامپوزیت، اصلاح طرح لبخند ان...

تا چند ساعت بعد از کامپوزیت نباید چیزی خورد؟
19 فروردین 1402

مراقبت‌های کامپوزیت از همان لحظات ابتدایی پس از نصب باید آغاز شود؛ درواقع حساس‌ترین و مهم‌...

مسواک و خمیردندان مخصوص کامپوزیت دندان
18 اردیبهشت 1402

هر کار زیبایی مزایا و معایب خاص خودش را دارد. زمانی که از کامپوزیت برای اصلاح طرح لبخند خو...

رزرو وقت

جهت دریافت نوبت آنلاین در کلینیک دندانپزشکی سیب‌سفید فرم رزرو را پر کنید تا در اسرع وقت با شما تماس بگیریم.

رزرو وقت

!
!
!