آدرس : شاهین شمالی، روبروی خرم‌شاد. تماس : 02144461471-02144451453

آخرین مطالب کامپوزیت

کلینیک دندانپزشکی سیب سفید، تنها کلینیکی است که تمامی خدمات زیبایی دندان شامل ایمپلنت، ارت...

عوارض جانبی ونیر دندان
19 خرداد
دسته بندی: کامپوزیت,

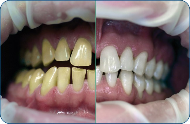
ونیرهای دندانی پوشش‌هایی نازک، راحت و به رنگ دندان هستند که متخصص دندانپزشک آنها را روی سط...

تاثیر کامپوزیت روی زیبایی چهره
8 خرداد
دسته بندی: کامپوزیت,

امروزه خدمات دندانپزشکی به خصوص خدمات زیبایی آن بسیار گسترش یافته و توانسته توجه طرفداران...

قیمت کامپوزیت دندان مهرماه 1402 (دندانپزشکی اقساطی)
7 خرداد
دسته بندی: کامپوزیت,

امروزه قبل از انجام هرکاری ابتدا باید در مورد تمام جوانب آن تحقیق کرد تا مبادا بی‎گدار به...

کامپوزیت ونیر چیست؟ عوارض کامپوزیت ونیر
26 اردیبهشت

روکش کامپوزیت ونیر از رزین سفید ساخته شده است که مستقیم توسط دندانپزشک زیبایی روی دندان ها...

انواع کامپوزیت دندان، بهترین نوع کامپوزیت دندان
15 اسفند
دسته بندی: کامپوزیت,

کامپوزیت از جمله راه‌های سفید کردن دندان می‌باشد که امروزه طرفداران زیادی دارد. در این روش...

سوالات رایج در مورد کامپوزیت دندان
5 اسفند
دسته بندی: کامپوزیت,

کامپوزیت دندان چیست؟ کامپوزیت دندان یک متریال در دندانپزشکی است که برای از بین بردن زردی د...

تفاوت بلیچینگ و کامپوزیت دندان چیست؟
29 بهمن
دسته بندی: بلیچینگ,کامپوزیت,

روز به روز اهمیت زیبایی به خصوص زیبایی دندانها بیشتر می‌شود و افراد بسیاری به دنبال تغییر...

تفاوت ونیر کامپوزیت و لمینت سرامیکی
4 بهمن
دسته بندی: لمینت,کامپوزیت,

هردو روش برای زیبایی خط لبخند  که شامل 8 تا 10 دندان در هر فک بالا و پایین می باشد ( البته...

باندینگ دندان چیست؟
1 دی
دسته بندی: لمینت,کامپوزیت,

معمولا دندان‌هایی که در اثر پر‌کردن توسط متخصص دندانپزشک، خالی شده‌اند نیاز به ترمیم دارند...

طول عمر کامپوزیت دندان
28 آذر
دسته بندی: کامپوزیت,

لمینت دندان به دو روش کامپوزیتی و سرامیکی انجام پذیر است. هزینه‌ی ونیر کامپوزیتی نسبت به س...

تفاوت لمینت سرامیکی و کامپوزیتی
27 آذر

لمینت دندان به دو روش سرامیکی و کامپوزیتی انجام می‌شود. در هر دو روش سعی بر مرتب کردن و سف...

رزرو وقت

جهت دریافت نوبت آنلاین در کلینیک دندانپزشکی سیب‌سفید فرم رزرو را پر کنید تا در اسرع وقت با شما تماس بگیریم.

رزرو وقت

!
!
!