آدرس : شاهین شمالی، روبروی خرم‌شاد. تماس : 02144461471-02144451453

برچسب : قیمت ایمپلنت دندان

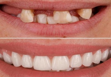
بهترین رنگ کامپوزیت دندان
11 مرداد 1399

بايد بدانيم در درمانهاى زيبايى يكى از فاكتورهاى مهم این است كه نماى دندان تا حد ممكن طبيعى...

در پاسخ باید قاطعانه بگم که هر درمانى جایگاه خودش را دارد و بسته به شرایط دندانها است که ط...

آيا کامپوزيت ونیر می تواند باعث بروز مشکلات دندانی مثل پوسيدگی شود؟
23 مهر 1399

پاسخ به اين سوال بستگی به کيفيت درمان و انتخاب درست کيس درمان دارد. اگر کامپوزيت به درستی...

یکی از مهمترین دغدغه های افرادی که خواستار درمانهای لمینت یا کامپوزیت ونیر هستند، ترس از ا...

بهترین برند کامپوزیت دندان
10 آبان 1399

واقعيت اينست كه در مورد كامپوزيتهاى دندان نيز مانتد ساير مواد كيفيت هاى متفاوتى وجود دارد...

جراحی سینوس برای کاشت ایمپلنت دندان
29 بهمن 1399

به دلیل آناتومی استخوان‌بندی، مقدار استخوان فک بالا و استخوان فک پایین با یکدیگر متفاوت اس...

مراحل مراقبت و انجام ایمپلنت دندان
16 فروردین 1400

پیش از انجام عمل باید پوسیدگی دندان ها بررسی و رفع شود برای قرار گیری ایمپلنت در دهان انج...

در چه مواردی از ایمپلنت کاشت دندان استفاده می شود؟
28 فروردین 1400
دسته بندی: ایمپلنت,

فاصله بین دندانهای جلو در اثر از دست رفتن یک دندان بطوری که دندانهای مجاور آن طبیعی باشند....

میزان موفقیت در ایمپلنت دندان
1 خرداد 1400
دسته بندی: ایمپلنت,

این حق طبیعی شماست که بدانید بعد از انجام ایمپلنت تا چه اندازه این عمل موفقیت آمیز خواهد ب...

ضمانت ایمپلنت چقدر است؟
10 مهر 1400
دسته بندی: خدمات شاخص,ایمپلنت,

ایمپلنت دندانی یا کاشت دندانها یکی از روش ها برای جایگزینی به جای یک دندان و یا ردیفی از د...

چه کسانی نمی توانند دندان های خود را ایمپلنت کنند؟
12 اسفند 1400
دسته بندی: ایمپلنت,عکس opg,

بسیاری از افراد با گذشت زمان بنا به دلایل متعددی همچون پیری، کشیدن دندان و... دندان های خو...

رزرو وقت

جهت دریافت نوبت آنلاین در کلینیک دندانپزشکی سیب‌سفید فرم رزرو را پر کنید تا در اسرع وقت با شما تماس بگیریم.

رزرو وقت

!
!
!