آدرس : شاهین شمالی، روبروی خرم‌شاد. تماس : 02144461471-02144451453

آخرین مطالب کامپوزیت

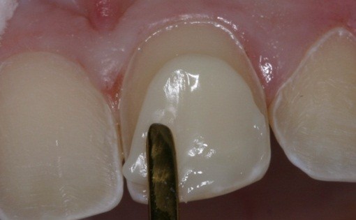
کامپوزیت ونیر چیست؟همه چیز درباره کامپوزیت ونیر دندان
24 مهر

اگر همیشه می‌خواستید لبخند خود را بهبود ببخشید، روکش‌های دندان می‌تواند انتخاب خوبی برای ش...

لمینت های دندان بسیار شبیه روکش های دندانی هستند. برخی از افراد می خواهند به جای روکش لمین...

شفافیت در کامپوزیت ونیر
8 شهریور

اول نوع کامپوزيت است، زيرا کامپوزيت ها بر اساس سايز ذرات تشکيل دهنده شان به چند گروه تقسيم...

۱) تا ۷۲ ساعت یا سه روز بعد از انجام کامپوزیت ونیر سعی کنید مواد غذایی رنگی مصرف نکنید یا...

مزایای کامپوزیت ونیر و طول عمر آن
20 تیر

کامپوزیت ونیر یک جایگزین ارزان تر برای روکش لمینت دندان هست. کامپوزیت دندان فقط در یک جلسه...

لمینت دندان سرامیکی یک پوسته نازک است که برای هر فرد به صورت سفارشی ساخته شده و روی دندان...

چه کسانی نباید از کامپوزیت ونیر استفاده کنند؟
5 فروردین

کامپوزیت دندان: یکی از چشمگیرترین جنبه های دندانپزشکی مدرن این است که بسته به وضعیت ، بودج...

اصلاح طرح لبخند با کامپوزیت دندان
16 اسفند

خوشبختانه امروزه باتوجه به ‌پیشرفت‌هایی که ‌در علم و تکنولوژی و بخصوص ‌در زمینه زیباسازی د...

5 راه تضمینی برای افزایش ماندگاری کامپوزیت دندان
7 اسفند

فاکتور های متعددی در دوام و طول عمر کامپوزیت دندان نقش دارند اما با این وجود می توان گفت ک...

نظرات بیماران درباره دکتر ساناز نوری
12 بهمن

برای داشتن دندان های زیبا، شما باید به چندین نکته توجه داشته باشید تا نتیجه کار شما ایده آ...

چه کسانی نمیتوانند کامپوزیت دندان انجام بدهند؟
3 بهمن

تقریبا بیشتر افراد می‌توانند از کامپوزیت دندان برای اصلاح طرح لبخند خود استفاده کنند. باید...

برای این که دندانپزشک تعیین کند آیا دندان شما مناسب ونیرکامپوزیت است یا خیر ابتدا موارد زی...

رزرو وقت

جهت دریافت نوبت آنلاین در کلینیک دندانپزشکی سیب‌سفید فرم رزرو را پر کنید تا در اسرع وقت با شما تماس بگیریم.

رزرو وقت

!
!
!