آدرس : شاهین شمالی، روبروی خرم‌شاد. تماس : 02144461471-02144451453

لبخند هالیوودی برای چه کسی مناسب است؟

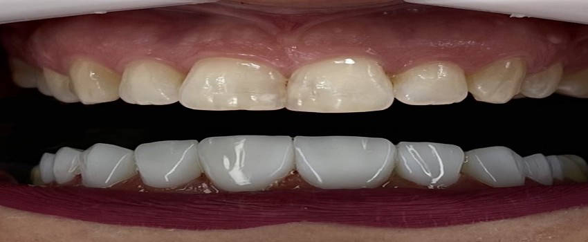
باید بدانید که داشتن دندان هایی سالم و زیبا باعث افزایش اعتماد به نفس شما می شود و همچنین کمک می کند تا لبخندی زیباتر داشته باشید.

لبخند هالیوودی برای چه کسی مناسب است؟
23 مرداد 1401
0

لبخند هالیوودی

باید بدانید که داشتن دندان هایی سالم و زیبا باعث افزایش اعتماد به نفس شما می شود و همچنین کمک می کند تا لبخندی زیباتر داشته باشید. برای رسیدن به لبخند هالیوودی و شیک ممکن است تغییراتی در فرم لثه، طول دندان، فاصله و برجستگی دندان ها ایجاد شود تا در نهایت لبخندی زیبا حاصل شود. در واقع رابطه مستقیمی بین اجزای صورت، اندازه، رنگ و شکل آنها در ترکیب با یکدیگر وجود دارد که رعایت تناسب این روابط، چهره را زیبا و دوست داشتنی می کند.

تفاوت های اصلی لمینت سرامیکی و کامپوزیت

در اینه که

لمینت های سرامیکی مقاومت بیشتری نسبت به کامپوزیت ونیر دارند. ماندگاری رنگ در لمینت های سرامیکی بیشتر است و به طور کلی ظاهر دلپذیرتر و رضایت بخش تری نسبت به ونیر کامپوزیت ها دارد. لمینت ها صفحات بسیار ظریف سرامیکی هستند که نیازی به برش ندارند و این یک مزیت بسیار خوب نسبت به تراشه های کامپوزیت می باشد. رنگ روکش های کامپوزیت از ثبات کمتری برخوردار است و مزیت اصلی آنها نسبت به لمینت سرامیکی ارزان بودن قیمت کامپوزیت است.

سوال اکثریت اینه که تفاوت کامپوزیت و لمینت چیه؟

تراش دندان:

لمینیت سرامیکی نیاز به تراش دندان دارد. البته این تراش بسیار کم است. اما کامپوزیت معمولا نیاز به تراش ندارد. بنابراین برای کسانی که به دائمی بودن روش سفید کردن دندان شک دارند، کامپوزیت راه مناسب تری است. چرا که قابل بازگشت است.

مدت زمان:

لمینیت سرامیکی نیاز به قالب گیری و ارسال به لابراتوار دارد. اما کامپوزیت در یک جلسه و در مطب قابل انجام است. در واقع متوسط طول درمان لمینت حدودا سه هفته از زمان معاینه و قالبگیری اولیه جهت موکاپ است.

مقاومت:

لمینیت سرامیکی مقاومت بیشتری نسبت به کامپوزیتی دارد. البته لمینت سرامیکی نیز نیاز به مراقبت کامل دارد. اما رنگ پذیری لمینیت سرامیکی بسیار کمتر از لمنیت کامپوزیتی است. چرا که مقاومت لمینت بیشتر از کامپوزیت است.

مزایای کامپوزیت ونیر

کامپوزیت ونیرها ظاهری شبیه به دندان طبیعی دارند.

استفاده از کامپوزیت باعث افزایش استحکام دندان‌های ترک خورده، سایش یافته و یا لب پرشده می‌شود.

این درمان طی یک جلسه انجام می‌شود

عدم نیاز به تراش دندان

امکان اصلاح پس از فرم دادن

امکان ترمیم در صورت شکستن و لب پر شدن

 قیمت مناسب‌ تر نسبت به روکش سرامیکی و لمینت سرامیکی

یه سری نکات که در کامپوزیت ونیر باید دقت کنید

حتما قبل از کامپوزیت ونیر کردن دندان کلیه پوسیدگی های آن حذف شود. گاها دیده شده که بر روی همان پوسیدگی های دندان کامپوزیت ونیر گذاشته می شود!

رنگ کامپوزیت دندان را خیلی غیر طبیعی انتخاب نکنیم.

ضخامت کامپوزیت زیاد نشود.

لبه کامپوزیت ونیر که به زیر لثه می رود بصورت شیبدار ختم شده و پله نباشد، سلامت لثه بسیار مهم است.

از کامپوزیت مرغوب استفاده شود.

هر شش ماه یک بار جهت جرمگیری و پولیش به کلینیک مراجعه نمایید.

از گاز زدن مواد غذایی بسیار سخت خودداری شود.

مسواک روزی سه مرتبه زده شود.

حتما بین دندان ها باز باشد تا از نخ دندان استفاده شود، در غیر این صورت دندان ها پوسیده می شوند.

دندان های شما مناسب کامپوزیت هستند؟؟

کامپوزیت راهی است برای اینکه دندان های زیباتری داشته باشید. این زیبایی با رفع نقض دندان هایتان همراه است. مثلا کجی جزیی دندان، یا فاصله های بین دندانی با کامپوزیت قابل درمان است. اما کامپوزیت نمیتواند مشکلات حاد را پوشش دهد. اگر شما دندان های سالمی دارید و متخصص اجازه کامپوزیت را داده است، میتوانید اقدام کنید. اما چه مواردی ممکن است باعث شود شما کاندیدای مناسبی برای کامپوزیت دندان نباشید.

دندان های برجسته

اگرچه کامپوزیت لایه نازکی است. اما می تواند باعث شود دندان هایتان کمی جلوتر بیاید. فرم برجسته دندانها در چنین حالتی بیشتر خواهد شد. به همین دلیل پزشک دندان و شرایط فکی شما را پیش از انجام کامپوزیت بررسی میکند. اگر دندان هایتان کمی جلوست شما کاندیدای خوبی برای انجام این روش زیبایی نیستید.

عدم رعایت بهداشت دهان و دندان

همانطور که گفتیم مراقبت های بعد از کامپوزیت بسیار مهم است. چرا که دندان های کامپوزیت شده، زودتر از دندان های معمولی رنگ می گیرد. هم چنین خوردن خوراکی های سفت بعد از کامپوزیت دندان پیشنهاد نمی شود. بنابراین بهتر است با خودتان صادق باشید. آیا می توانید یک رسیدگی مستمر و دائم داشته باشید؟ چرا که تنها در این صورت است که شما شخص مناسبی برای کامپوزیت هستید.

نامنظمی بیش از حد دندان ها

همانطور که گفتیم کامپوزیت دندان می تواند نامرتبی جزیی دندان ها را پوشش دهد. همچنین اگر بین دندان هایتان کمی فاصله وجود دارد، این ماده فاصله را به شکلی طبیعی جبران میکند. اما اگر وضعیت دندان هایتان به گونه ای است که نیاز به ارتودنسی وجود داشته باشد، ابتدا باید درمان انجام دهید. در واقع نامنظمی های بیش از حد دندانی با کامپوزیت قابل درمان نیست.

جدول دسترسی سریع، کلیک کنید.

شرایط اقساط کلینیک سیب سفید به چه صورت است؟

کامپوزیت دندان چیست؟
نمونه کامپوزیت های انجام شده در کلینیک سیب سفید
چه کسانی نباید از کامپوزیت دندان استفاده کنند؟
کسانی که لثه های بزرگ و چشم گیر دارند برای زیبایی چه باید انجام دهند؟
طول عمر کامپوزیت دندان چقدر است و پس از آن چه باید کرد؟ هزینه کامپوزیت دندان چقدر است و چه تعداد دندان نیاز به کامپوزیت دارد؟
بعد از کامپوزیت دندان چه شکلی میشوم؟ (ارسال عکس) تفاوت لمینت سرامیکی و کامپوزیت در چیست؟
تفاوت کامپوزیت و بلیچینگ دندان در چیست؟ رایج ترین سوالات درمورد کامپوزیت دندان چیست؟
چگونه بهترین کامپوزیت دندان مناسب شکل صورت خود را انتخاب کنید؟ اگر روی دندان هایم تاج دندان یا کامپوزیت ونیر داشته باشم می توانم از ارتودنسی استفاده کنم؟

ارسال عکس جهت مشاوره اینترنتی با متخصص زیبایی

 

 

اطلاعیه:قیمت لمینت دندان هر واحد 2450 هزار تومان و کامپوزیت دندان هر واحد 690 هزار تومان به تعداد محدود تا 5 روز آینده

امکان اقساط تا 70 درصد از کل مبلغ

برای مشاوره و ارسال عکس میتوانید با شماره زیر از طریق واتس آپ در ارتباط باشید.

09393558965 زیبایی

09393559163 درمانی

 

 

دیگر مطالب مفید کلینیک دندانپزشکی سیب سفید:

0 نظر

ارسال نظر

!
!
ارسال شماره همراه شما منتشر نمی شود.

رزرو وقت

جهت دریافت نوبت آنلاین در کلینیک دندانپزشکی سیب‌سفید فرم رزرو را پر کنید تا در اسرع وقت با شما تماس بگیریم.

رزرو وقت

!
!
!