آدرس : شاهین شمالی، روبروی خرم‌شاد. تماس : 02144461471-02144451453

برچسب : ایمپلنت دندان اقساطی

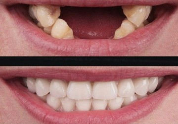
فیلم مراحل و خطرات ایمپلنت دندان
10 فروردین 1399
دسته بندی: ایمپلنت,

هدف از دوبله فارسی این فیلم توسط کلینیک سیب سفید توضیح این است که چطور ممکن است که ایمپلنت...

علت شل شدن ایمپلنت دندان
31 خرداد 1399

اگر یک کاشت دندان شل داشته باشید، ممکن است به چند دلیل مختلف باشد.دلایل زیادی وجود دارد که...

یکی از بیشترین دغدغه های افراد که به کلینیک دندانپزشکی مراجعه میکنند جهت ترمیم زیبایی دند...

علائم پس زدن و شکست ایمپلنت دندان
22 مرداد 1399

موفقیت درمان کاشت ایمپلنت کاشت دندان که به آن ایمپلنت دندان نیز گفته میشود راه حلی دائم...

قیمت و انواع کاشت ایمپلنت دندان
25 مرداد 1399
دسته بندی: ایمپلنت,

قبل ار هرچیزی باید توصیحی درباره ایمپلنت دندان بدهیم تا به طور کلی با آن آشنا شوید. ایمپلن...

خراب شدن دندان بعداز انجام کامپوزیت ونیر
3 شهریور 1399

در دنیای امروز یکی از پرطرفدار ترین کارها در دندانپزشکی زیبایی کامپوزیت دندان میباشد که بر...

مشکلاتی که کامپوزیت ونیر غیر اصولی ایجاد می کند، چیست؟
22 شهریور 1399

معمولا از مزیت های کامپوزیت زیاد صحبت می شود ولی بایست نسبت به معایب انجام کامپوزیت ونیر ن...

یکی از علت های مهم در مصنوعی بنظر رسیدن کامپوزیت ونیر، مات بودن رنگ و عدم عبور نور از ضخام...

آیا بين برند هاى مختلف کامپوزيت اختلاف است؟
29 آذر 1399

بايد بدانيد که کامپوزيت هم دسته بندى دارد. در واقع کامپوزيت ماده اى است که يک بيس رزينى دا...

فواید ایمپلنت دندان
8 دی 1399
دسته بندی: ایمپلنت,

با کاشت دندان به روش ایمپلنت می توان از مشکلاتی مثل تحلیل رفتن استخوان ها و فک جلوگیری کرد...

مراقبت های بعد از انجام ایمپلنت دندان
18 بهمن 1399
دسته بندی: ایمپلنت,

مراقبت های بعد از جراحی ایمپلنت دندان بعد از انجام ایمپلنت شما ممکن است به استراحت نیاز دا...

جراحی سینوس برای کاشت ایمپلنت دندان
29 بهمن 1399

به دلیل آناتومی استخوان‌بندی، مقدار استخوان فک بالا و استخوان فک پایین با یکدیگر متفاوت اس...

رزرو وقت

جهت دریافت نوبت آنلاین در کلینیک دندانپزشکی سیب‌سفید فرم رزرو را پر کنید تا در اسرع وقت با شما تماس بگیریم.

رزرو وقت

!
!
!