آدرس : شاهین شمالی، روبروی خرم‌شاد. تماس : 02144461471-02144451453

برچسب : عصب کشی

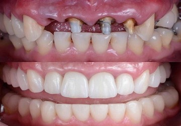
لمینت سرامیکی بهتر است یا کامپوزیت، عوارض لمینت
5 آذر 1397

این روش به روش غیر مستقیم لمینت معروف می‌باشد. جنس این نوع لمینت، از سرامیک یا همان پرسلن...

پوسیدگی دندان و عوامل موثر بر آن
24 آبان 1397
دسته بندی:

از عوامل ایجاد دردهای شدید دندان میتوان به تورم لثه و پوسیدگی دندان‌ها  اشاره کرد.بسیاری ا...

ایمپلنت یا بریج دندان، کدام روش بهتر است؟
6 دی 1397
دسته بندی: ایمپلنت,روکش دندان,

ایمپلنت و بریج هر دو روشی برای جایگزین کردن دندان از بین رفته است که هر کدام مزایا و معایب...

آبسه دندان، علل، علائم و راه درمان آن
24 دی 1397
دسته بندی: بیماری‌های لثه,

آبسه، غده‌ای عفونی و چرکی است که در اطراف ریشه‌ی دندان تشکیل می‌شود. معمولا آبسه بعد از پو...

تفاوت ونیر کامپوزیت و لمینت سرامیکی
4 بهمن 1397
دسته بندی: لمینت,کامپوزیت,

هردو روش برای زیبایی خط لبخند  که شامل 8 تا 10 دندان در هر فک بالا و پایین می باشد ( البته...

کاشت دندان، بهترین روش کاشت دندان
25 اسفند 1397
دسته بندی: ایمپلنت,روکش دندان,

از دست دادن دندان یکی از مهمترین مشکلاتی است که برای دندان‌ها پیش می‌آید و نه تنها روی زیب...

برنامه ریزی درمانی برای ایمپلنت دندان (1)
4 خرداد 1398
دسته بندی: خدمات شاخص,ایمپلنت,

عوامل متعدد مهمی برای برنامه ریزی درمان بیماران در زمینه جایگزینی ایمپلنت وجود دارد. درمان...

معرفی درمان ریشه یا روت کانال تراپی‌
30 مرداد 1400
دسته بندی: عصب‌کشی,

درمان ریشه دندان، خارج کردن عصب دندان، تمیز کردن داخل کانال دندان و پر کردن آن با مواد مخص...

مراحل عصب کشی
3 مهر 1400
دسته بندی: عصب‌کشی,

عصب کشی یکی از درمان های رایج برای نجات دندان پوسیده است که در این امر تعداد ریشه و کانال...

عمر دندان عصب کشی شده چقدر است؟
3 فروردین 1401

عصب دندان به همراه مجموعه اى از رگ ها در مركز (پالپ)دندان قرار گرفته است. عصب هاى دندان...

علت تفاوت قیمت در عصب کشی دندان
13 دی 1401

عصب‌کشی دندان یکی از پرهزینه‌ترین خدمات دندانپزشکی به شمار می‌رود. درست است که هر یک از خد...

رزرو وقت

جهت دریافت نوبت آنلاین در کلینیک دندانپزشکی سیب‌سفید فرم رزرو را پر کنید تا در اسرع وقت با شما تماس بگیریم.

رزرو وقت

!
!
!