آدرس : شاهین شمالی، روبروی خرم‌شاد. تماس : 02144461471-02144451453

برچسب : کامپوزیت ونیر

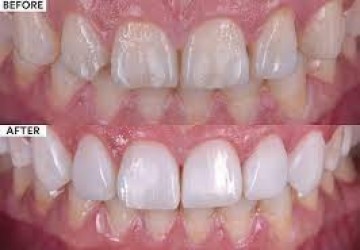
مراقبت از کامپوزیت دندان
22 آبان 1398
دسته بندی: کامپوزیت,

بیشتر مواقع مردم به دلیل مناسب بودن قیمت کامپوزیت دندان نسبت به لمینت سرامیکی ، برای اصلاح...

کامپوزیت دندان در دوران بارداری
6 آذر 1398
دسته بندی: کامپوزیت,

قیمت کامپوزیت دندان سبب گرایش افراد برای دریافت کامپوزیت ونیر شده است. قبل از تعیین وقت وی...

گاهی تغییراتی که در شکل و رنگ دندانها می توان با روشهای جدید دندانپزشکی زیبایی ایجاد کرد،...

نكته هایی درباره كامپوزيت كه معمولا دندانپزشكان به شما نمي گويند
5 آبان 1399

يك نكته مهم در مورد درمانهاى زيبايى، انست كه طراحى لبخند هر كس خاص خودش و بر اساس فرم صورت...

تراش لمینت سرامیکی
15 شهریور 1401

اصلاح طرح لبخند یعنی ایجاد تغییراتی در رنگ و شکل و فرم دندانها بمنظور زیباتر دیده شدن دندا...

کامپوزیت ونیر چیست؟همه چیز درباره کامپوزیت ونیر دندان
24 مهر 1401

اگر همیشه می‌خواستید لبخند خود را بهبود ببخشید، روکش‌های دندان می‌تواند انتخاب خوبی برای ش...

لمینت های دندان درمان های فوق العاده ای با دوام و ظاهر طبیعی هستند که می توانند عملکرد و ظ...

پوسیدگی دندان و بیماری لثه در اثر پلاک، ترکیب چسبنده باکتری و غذا ایجاد می شود. پلاک‌ها در...

انجام کامپوزیت چقدر طول می کشد؟
22 فروردین 1402

با پرسیدن سوال «انجام کامپوزیت چقدر طول می‌کشد؟» به راحتی می‌توان فهمید شما فردی هستید که...

رزرو وقت

جهت دریافت نوبت آنلاین در کلینیک دندانپزشکی سیب‌سفید فرم رزرو را پر کنید تا در اسرع وقت با شما تماس بگیریم.

رزرو وقت

!
!
!