آدرس : شاهین شمالی، روبروی خرم‌شاد. تماس : 02144461471-02144451453

برچسب : ایمپلنت قسطی

ایمپلنت تک دندان، ایمپلنت برای یک دندان
18 خرداد 1398
دسته بندی: ایمپلنت,

اگر یکی از دندان‌هایتان را از دست داده‌اید، با یک ایمپلنت و یک تاج می‌توانید به راحتی آن ر...

مشکلات ایمپلنت دندان
26 خرداد 1398
دسته بندی: ایمپلنت,

نتایج بیشتر ایمپلنت‌های دندانی موفقیت آمیز هستند، اما این بدین معنا نیست که ایمپلنت دندانی...

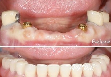
ایمپلنت کل دهان، بازسازی کل دهان با ایمپلنت
4 تیر 1398
دسته بندی: ایمپلنت,

اگر تمام دندان‌هایتان را از دست داده اید، یک بریج یا پروتز کامل از طریق ایمپلنت می‌تواند ج...

ایمپلنت دندان برای بیماران قلبی
10 تیر 1398
دسته بندی: ایمپلنت,

اگر بیماری قلبی دارید، حتی روش‌های کوچک پزشکی نیز می‌تواند یک مشکل بزرگ باشد. عوارض ناشی ا...

ایمپلنت های کوتاه: جایگزین مناسبی برای تقویت حفره (سینوس)
1 مرداد 1398
دسته بندی: ایمپلنت,

ایمپلنت های کوتاه و وسیع اجازه دادند که تمرین کنندگان بتوانند با یک تکنیک آتروماتیک، کم ته...

دانستنی های مهم درباره انواع لمینت دندان پوسته های بیسار نازک لمینت دندان (لمینت‌های سرام...

ایمپلنت، بهترین جایگزین برای دندان از دست رفته
6 اسفند 1399

به دلایل مختلفی امکان دارد که فرد دندان اصلی رااز دست بدهد. امکان دارد یه آسیب فیزیکی باعث...

پاسخ متخصصین به سوالات رایج در مورد ایمپلنت دندانی
24 مهر 1400
دسته بندی: ایمپلنت,

ایمپلنت تمام دندان یکی از روشهای درمانی بسیار مناسب برای افرادی است که کل دندانهای خود را...

موفقیت ایمپلنت دندانی چقدر است؟
15 آبان 1400
دسته بندی: ایمپلنت,

موفقیت ایمپلنت دندانی 97% گزارش شده است، در 3% موارد بجای پیوند استخوان بافت لثه ای به ایم...

مراقبت‌های بعد از عمل جراحی ایمپلنت
22 آبان 1400
دسته بندی: ایمپلنت,

عمل جراحی ایمپلنت دندان یک روش بسیار سریع و ساده است. دقت داشته باشید به راحتی با مصرف روز...

چه کسانی نمی توانند ایمپلنت دندانی انجام دهند؟ ‌
2 آذر 1400

هنگامی که دندان به هردلیلی از بین می رود ، ریشه ای که به طور معمول دندان را در جای خود نگه...

هر آنچه باید درباره ایمپلنت و مراقبت های بعد از آن بدانید
10 بهمن 1400

کاشت دندان از طریق ایمپلنت دندانی باعث شده تا هزاران بیمار دندانپزشکی با وجود دندانهای آسی...

رزرو وقت

جهت دریافت نوبت آنلاین در کلینیک دندانپزشکی سیب‌سفید فرم رزرو را پر کنید تا در اسرع وقت با شما تماس بگیریم.

رزرو وقت

!
!
!