با پرکردن فرم نوبت خود را رزرو کنید.
اطلاعیه:قیمت ایمپلنت دندان 5.200.000 به جای 6.200.000 فقط تا 5 روز آینده
امکان اقساط تا 70 درصد از کل مبلغ فراهم شده است.برای مشاوره و ارسال عکس میتوانید با شماره زیر از طریق واتس آپ در ارتباط باشید.09363558965 زیبایی09393559163 درمانی
|
ایمپلنت دندان: عواقب طبیعی از دست دادن دندان های آسیاب ماگزیلاری، از دست رفتن ارتفاع استخوان تاج است. وقتی دندان ها برداشته می شوند، ریج های باقی مانده می توانند در عرض 3 سال اول 30 تا 60 درصد ارتفاع و عرض خود را از دست بدهند. حفره ی فک می تواند هوا بگیرد و بزرگتر شود و این باعث می شود که ارتفاع ریج استخوانی باقی مانده کاهش یابد.
هنگامی که بین تاج و کف سینوس فاصله عمودی ایجاد می شود، امکان قرار دادن ایمپلنت های دندانی می تواند به خطر بیفتد. هنگامی که استخوان کافی برای ثبات و حمایت طولانی مدت از ایمپلنت دندان و بازسازی آن وجود ندارد، روش برداشت سینوس اجرا می شود.
3 محل آناتومیک برای انجام پیوند سینوسی وجود دارد:
در سینوس فک به دلایل پروتزی، Boyne برای اولین بار از پیوند استخوان برای افزایش حجم بافت استخوانی در دهه 1960 استفاده کرد. Tatum سپس از یک تکنیک پیوند انترال برای قرار دادن ایمپلنت های فلزی استفاده کرد. در روش دیواره جانبی تهاجمی جراح نیاز به ایجاد یک پنجره دسترسی از طریق دیواره جانبی سینوس با استفاده از روش Caldwell-Luc دارد. هنگامی که پنجره ایجاد می شود، دیوار در حالی که همزمان غشای سینوس را افزایش می دهد، بین غشای إشنایدری و کف سینوس فضا ایجاد می کند خراب می شود.
یک ماده ی پیوندی به فضای حاصل معرفی می شود. این تکنیک معمولا هنگامی استفاده می شود که کمتر از 5 میلی متر از استخوان تاج باقی مانده باشد. با این حال، این روش، در حالی که بسیار موفق و قابل پیش بینی است، با عوارض جانبی منفی نیز همراه می باشد. عفونت، انقباض، سوراخ شدن سینوس، و آسیب عصب زیر کاسه چشم، همه گزینه های بسیار محتمل هستند.
در اواسط دهه 1990، روزن و همکاران و سامرز نشان دادند که با روش ایمپلنت استخوان بری (استئوتومی)، کف سینوس می تواند توسط یک ابزار استخون بر (استئوتوم) برداشته شود. این روند داخلی به عنوان رویکرد سامرز شناخته می شود و شامل ایجاد استئواتومی داخل یک میلی متر از کف سینوس و سپس استفاده از استئوتوم برای بالا بردن کف است. هنگامی که بالا کشیده شد، مواد پیوند ذره ای به استئوتومی اضافه می شود و به سینوس انتقال داده می شوند. این روش یک حد بالا رفتن غیرقابل پیش بینی در حدود 4.0 تا 5.0 میلیمتر دارد. اشک های غشاء سینوسی یک عارضه جانبی رایج است که به علت شکست غیرقابل کنترل کف سینوس اتفاق می افتد.
واقعیت ناخوشایند این است که اگر توسط متخصص ایمپلنت روند برداشت سینوس تشخیص داده شود بسیاری از بیماران درمان ایمپلنت را مقدم می شمارند. ممکن است ترس از این روش یا هزینه اضافی عامل تعیین کننده ای برای آنها باشد.
در ابتدا، اثربخشی ایمپلنت های کوتاه به علت اصول طولانی مدت ایمپلنت زیر سوال بود، اما در سال های اخیر موفقیت ایمپلنت های کوتاه و گسترده ای نشان داده شده است. در سال 2004، فوگازاتو و همکارانش نشان دادند میزان موفقیت تجمعی ایمپلنت های کمتر از 9 میلیمتر 95.1 درصد است. مطالعات اخیر نشان داده است که میزان بقایای ایمپلنت کوتاه در بیمارانی که نیمی از دندان های شان را از دست داده اند شبیه به ایمپلنت های استاندارد است.
ایمپلنت ماکرو 6.0 میلیمتر (OCO Biomedical) یک جایگزین مناسب برای ریج هایی است که ارتفاع عمودی استخوان آن به خطر افتاده است. این موضوع پیچیده است، که اجازه جاگذاری در استخوان نرم و سخت با پایداری اولیه ی عالی را می دهد، دارای تعویض پلت فرم است، و پروتکل جاگذاری ساده ای دارد.
بیمار مردی 32 ساله بود که سابقه پزشکی نامطلوبی داشت. دندان آسیاب اول و دوم (دندان های شماره 2 و 3) حدودا 2 سال قبل به علت پوسیدگی گسترده خارج شد (شکل 1). ریج باقی مانده، اگر چه بسیار گسترده بود (حدود 11 میلی متر)، اما در بعد عمودی به خطر افتاده بود. اسکن های CBCT ارتفاع 5.2 میلی متری لبه ی عقبی را در ناحیه دندان شماره 2 نشان داد (شکل 2). یک ریج آسیب دیده مانند این معمولا با استفاده از روش با روش برداشت تاج سامرز درمان می شود، با استفاده از استئوتوم ها کف سینوس را به اندازه ی 4.0 تا 5.0 میلی متر بالا می کشند تا یک ایمپلنت به طول 8.0 میلی متر را قرار دهند. در محل ایمپلنت شماره 3، کف سینوس شیب رو به بالا دارد که نزدیک دیوار جلویی قرار گرفته است. ارتفاع ريج در اين ناحيه 5.9 تا 6.0 ميلي متر بود.

شکل 1: رادیوگرافی پانورامیک قبل از عمل.

شکل 2. CBCT مقطعی ناحیه بی دندان.
طرح درمان قرار دادن دو ایمپلنت ماکرو 6.0 میلیمتر در 6.0 میلیمتر بود. محل ایمپلنت ناحیه شماره 2 نیاز به یک لیفت جزئی (1.0 میلیمتر) دارد و منطقه شماره 3 می تواند ایمپلنت کوتاه را بدون لیفت جای دهد.
هنگامی که بیهوشی عمیق با نفوذ سپتوکائین (سپتودونت) (با 1:100،000 اپینفرین) در هر دو ناحیه گونه و دهان انجام شد، یک تیغ گرد شماره ی 8 به منظور نفوذ بافت کراتینیزه شده و ایجاد شکاف در استخوان تاج مورد استفاده قرار گرفت. بعد، یک مته با قطر 1.8 میلی متری با آبیاری زیاد، برای ایجاد یک استئوتومی که بدون نفوذ انترال کف سینوس را گسترش می دهد (شکل 3) استفاده شد.
به دنبال پروتکل تجویز شده، یک پانچ بافت هدایت کننده 6.0 میلیمتری برای حذف بافت توپی متمرکز در اطراف سوراخ آزمایشی اولیه مورد استفاده قرار گرفت (شکل 4). اکنون که استخوان تاج در معرض قرار گرفته است، ابتدا استوئتومی بالایی 3.5 میلیمتری (شکل 5)، و سپس استوئتومی گسترده ی 5.7 میلی متری (شکل 6) استفاده شد. به طور معمول، با سیستم OCO، پروتکل اجازه ی پیشرفت از مرحله آزمایشی به قطر نهایی را در یک مرحله به دلیل طراحی منحصر به فرد مته می دهد.
هنگام استفاده از ایمپلنت 6.0 میلیمتری، توصیه می شود تصاعدی عمل کنید تا مته «ترک ناگهانی» را کند کنید و همچنین احتمال داغ شدن استخوان توسط این جهش بزرگ در قطر را کاهش دهید. هنگامی که استئوتومی در محل شماره ی 3 تکمیل شد (شکل 7)، مراحل برای سایت شماره ی 2 تکرار شدند. تنها تفاوت، استفاده از یک لاستیک1.0 میلیمتری O-ring همراه با یک نقطه عمقی 6.0 میلی متری برای نشان دادن عمق مناسب حفاری بر اساس اندازه گیری های CBCT بود (شکل 8).

شکل 3. مته حفاری 1.8 میلی متری با نقطه توقف عمق 6.0 میلیمتری در محل.

شکل 4. یک پانچ بافتی هدایت کننده ی 6.0 میلیمتری.

شکل 5. استئوتومی 3.5 میلی متری پیشین.

شکل 6. استئوتومی 5.7 میلیمتری پیشین.

شکل 7. استئوتومی کامل.

شکل 8. مته حفاری با توقف عمق و O-ring.
هر دو محل با محلول نمک استریل شستشو داده شدند و بیمار یک مانور والساوا انجام می دهد برای تعیین اینکه آیا ارتباط دهان و دندان هنگام آماده سازی استخوان برها رخ داده است. هیچ سوراخی مشخص نشد، بنابراین مراحل قرار دادن ایمپلنت ها اجرا شد.
پوسته نازک استخوانی در کف سینوس قرار داده شد و برای جلوگیری از جابجایی سیم باریک ایمپلنت به داخل حفره سینوسی، کف سینوس با استفاده از ایمپلنت های دندانی تقریبا 1.0 میلیمتر تخلیه شد.
استخوان های خودبخود تولید شده که از استئوتومی پیشین تشکیل شده اند، با مقدار کمی از مواد پیوندی کورتیکو اسفنجی (Raptos (Citagixix)) مخلوط شده و با یک قاشق جراحی کوچک پدالی به استئوتومی معرفی می شوند(Zoll-Dental) (شکل 9). دو ماکرو ایمپلنت 6.0 در 6.0 میلیمتر در محل های آماده شده با استفاده از گیرنده های Ultim متصل می شوند (شکل 10). به محض قرارگیری، حامل ها برداشته شدند و ایمپلنت با یک آچار پیچی در جای خود ثابت شد. به محض رسیدن به کف نازک سینوس و به طور مکانیکی فشار به آن، یک تخلیه کنترل شده منجر به ایمپلنت در ناحیه شماره 2 شد (شکل 11).
مقاومت چرخش 45 نانوسانتیمتر بر روی ایمپلنت شماره 2 و 47 نانوسانتیمتر بر روی ایمپلنت شماره 3 در جاگذاری نهایی به دست آمد. این مقادیر به خودی خود پایداری اولیه ی کافی را برای بارگیری سریع ایجاد می کنند، اما هر دو ایمپلنت با استفاده از RFA (Osstell) مورد بررسی قرار گرفتند (شکل 12). مقدار ثبات ایمپلنت (ISQ)68 و 72 برای سایت های شماره 2 و 3 به دست آمد. به طور کلی پذیرفته شده است که مقدار ISQ بالاتر از 65 برای شروع یک پروتکل بارگیری ایمپلنت (یا بارگیری اولیه) برای خلاصه تحقیق توسط Osstell کافی است.
با استحکام فوقالعاده اولیه، پایه های جامد تاج و پل 5/5 میلیمتری با فاصله ی 30 نانوسانتیمتر مشخص (شکل 13) جاگذاری و محکم شدند. در حدود 5 دقیقه، آنها برای مقابله با هر گونه ناهنجاری احتمالی پایه ها، مجددا آن را محکم کردند.

شکل 9. استخوان های خود به خود تولید شده با استئوتومی ها برداشت می شوند.

شکل 10. یک ماکرو ایمپلنت 6.0 در 6.0 میلیمتری (OCO Biomedical).

شکل 11. رادیوگرافی پانورامیک ایمپلنت در محل.

شکل 12: هوش مصنوعی برای خواندن ضریب پایداری ایمپلنت (RFA [Osstell]) در ایمپلنت قرار داده شد.

شکل 13: پایه های جامد تاج و پل های 5.5 میلیمتری.

شکل 14. درپوش های اکریلیک در محل.
زمانبندی فوری با استفاده از درپوش های اکریلیک (شکل 14) و تاج های موقت (3M ESPE) انجام شد. تاج های موقت تراشه ای با استفاده از Improv (OCO Biomedical)، یک ماده ی پیوندی چسب مانند موقت، وصل می شوند. بیمار با تجویز و راهنمایی های مناسب پس از عمل (بند 15) ترخیص شد.
به بیمار نیز توصیه شد که برای چند هفته آینده هیچ محدودیتی برای خوردن وجود ندارد.
پس از 3 هفته بیمار برای ارزیابی و تاثیرات نهایی به کلینیک برگشت. تاج های موقت برداشته شدند و پیکاپ قالب های انقباض بافت (TRIPs) در محل قرار گرفت (شکل 16). قالب نهایی با استفاده از ترکیبی از مواد قالب گیری وینیل پلی سیلوکزان سنگین و سبک (Identium [Kettenbach LP]) (شکل 17) گرفته شد. هنگامی که این قالب ها از دهان خارج شدند، آنالوگهای تک بخشی ایمپلنت دوباره در TRIPs قرار می گیرند. قالب های چهارگوش بالا و پایین (Futar [Kettenbach LP]) برای ساخت ترمیمهای PFM فردی به آزمایشگاه فرستاده شد (شکل 18). تاج های موقت برداشته شدند و سپس بیمار مرخص شد.

شکل 15. ترمیم های موقت (تاج های موقت [3M ESPE]).

شکل 16: ابزارهای عیب یابی انقباض بافت (TRIPs) در محل.

شکل 17. قالب ها با TRIP گرفته شدند.

شکل 18- آنالوگ ها در قالب نهایی (Futar [Kettenbach LP] قرار می گیرند).

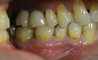
شکل 19. ترمیم نهایی PFM در محل.

شکل 20. رادیوگرافی نهایی از بازسازی های کامل شده
پس از حدودا 2 هفته، بیمار برای جابجایی نهایی ترمیم ها مجددا بازگشت. پس از خارج کردن تاج های موقت، تمام مواد چسبی موقت باقی مانده از پایه ها پاک شدند و تاج های مورد نظر برای انطباق مورد بررسی قرار گرفتند. تنظیمات اکلوزال انجام شد و تاج ها با چسب (Improv [Alvelogro]) محکم شدند (شکل 19).
چسب های اضافی خارج شده و با رادیوگرافی تأیید شدند (شکل 20).
ایمپلنت های کوتاه و وسیع این امکان را می دهند که بتوان با یک تکنیک آتروماتیک، کم تهاجم و قابل پیش بینی در مناطقی که قبلا روش سنتی تقویت سینوس مورد نیاز بود، ایمپلنت انجام دهند. این نوع درمان عوارض جانبی کمتری بیمار دارند و علاوه بر این ایمپلنت های کوتاه باعث موفقیت قابل پیش بینی و بلند مدت می شوند.
|
جدول دسترسی سریع، کلیک کنید. |
همین حالا کلیک نمایید و عکس لبخندتان را برای ما بفرستید.تا مشاوره و هزینهی حدودی آن از طرف متخصص زیبایی برای شما ارسال گردد.(تصاویر به گونهای که 16 دندان جلو مشخص باشد.) |
دیگر مطالب مفید کلینیک دندانپزشکی سیب سفید:
جهت دریافت نوبت آنلاین در کلینیک دندانپزشکی سیبسفید فرم رزرو را پر کنید تا در اسرع وقت با شما تماس بگیریم.
شما می توانید با وارد کردن ایمیل در خبرنامه عضو شوید.