آدرس : شاهین شمالی، روبروی خرم‌شاد. تماس : 02144461471-02144451453

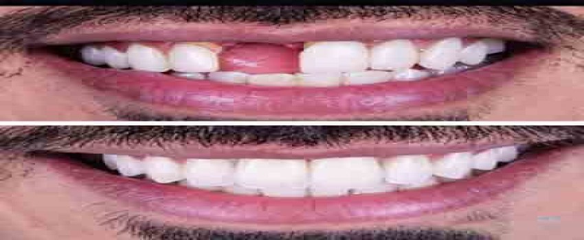
مراقبت‌های بعد از عمل جراحی ایمپلنت

مراقبت‌های بعد از عمل جراحی ایمپلنت. هزینه ایمپلنت دندان چقدر است؟هزینه و قیمت ایمپلنت دندان بستگی به شرایط دندانی فرد دارد این قیمت بعد از ویزیت توسط متخصص ایمپلنت مشخص خواهد شد.

مراقبت‌های بعد از عمل جراحی ایمپلنت
22 آبان 1400
0
دسته بندی: ایمپلنت,

مراقبت‌های بعد از عمل جراحی ایمپلنت

عمل جراحی ایمپلنت دندان یک روش بسیار سریع و ساده است. دقت داشته باشید به راحتی با مصرف روزانه سه مرتبه مسواک می‌توانید بهداشت ایمپلنت خود را تضمین کنید. بعد از عمل جراحی ایمپلنت موارد زیر را به دقت انجام دهید

پس از آن که بخیه را جداسازی کردید پس از گذشت حداقل سه روز تمامی نواحی اطراف ایمپلنت را باید مسواک بزنید.

پس از آشامیدن و صرف مواد غذایی برای جلوگیری از جمع شدن میکروب و جرم در نواحی ایمپلنت باید از دهان شویه استفاده کنید.

دقت داشته باشید جهت تمیز کردن نواحی ایمپلنت باید از استفاده از خلال دندان پرهیز کرد و نباید از لوازم تیز جهت تمیز کردن دندان استفاده کنید.

استفاده از مسواک حداقل به مدت   ساعت 72 برای نواحی ایملپنت کاملا ممنوع می‌باشد.

برای مدتی تا پایان بهبودی  استفاده و استعمال دخانیات را فراموش کنید.

مواد قندی دشمن ایمپلنت شما می‌باشد سعی کنید بلافاصله پس از صرف مواد قندی باقی مانده آن را از نواحی ایمپلنت پاکسازی کنید.

به مدت یک روز پس از انجام جراحی موظف هستید از غذاهای سرد و نرم استفاده کنید. استفاده از غذای گرم برای 24 ساعت ممنوع است.

دقت داشته باشید پس از عمل جراحی ممکن است کمی خون آبه در دهان شما جمع شود لطفا  دستمال خود را جلوی دهان گرفته و به آرامی آن را خارج کنید زیرا خارج کردن آب دهان با شدت باعث ایجاد خون ریزی و فشار به دندان شما می‌شود.

تمامی داروهایی که به توصیه پزشک برای شما تجویز شده است را تا آخر استفاده کنید و استفاده از دارو سر خود  قطع نکنید. معمولا داروها برای مدت یک هفته تجویز می‌شود.

بعد از عمل جراحی ایمپلنت بهتر از از کمپرس یخ برای التهاب و تورم محل جراحی استفاده کنید. معمولا 24 تا 72 ساعت پس از انجام عمل جراحی این اتفاق رخ می‌دهد. خونسردی خود را حفظ کنید و فقط از کمپرس یخ استفاده کنید.

حداکثر تا دو ساعت پس از کاشت دندان (ایمپلنت) بسته گازی که پزشک روی دندان شما قرار داده است را با کمی فشار نگهدارید و سپس دور بیاندازید. دقت داشته باشید گاز در محل درستی قرار گرفته باشد.پس از گذشت دو ساعت هر 45 دقیقه گاز را تعویض کنید و گاز جدید روی محل ایمپلنت قرار دهید.

حتما 24 ساعت بعد از ایمپلنت دندان‌هایتان روزی 3 بار دهان خود را با دهان شویه بشوئید.

۳۰ دقیقه بعد از عمل، خونریزی را با گاز استریل و فشار آرام کنترل کنید.

در این مدت به هیچ عنوان نباید گاز استریل را بردارید.

وجود خونریزی جزئی بعد از عمل طبیعیه و جای نگرانی نداره.

به هیچ عنوان محل ایمپلنت رو دستکاری نکنید.

اجازه بدید تا روند بهبودی به درستی پیش بره.

به مدت ۲۴ ساعت بعد از کاشت، ۲ تا ۳ بار به کمک آب نمک دهان خود را بشویید.

از دهانشویه قوی استفاده نکنید.

یادتون نره باید کاملا استراحت کنید و فعالیت های شدید رو کنار بذارید.

برای کاهش تورم از کمپرس یخ استفاده کنین.

کمپرس گرم خونریزی رو بیشتر میکنه.

حداقل تا یک هفته سیگار نکشید.

برای کاهش درد از مسکن استفاده کنین و اگر دندانپزشک براتون آنتی بیوتیک تجویز کرد سر تایم مصرف کنین.

رژیم غذایی

تا ۲۴ ساعت غذا و نوشیدنی داغ نخورید.

تا حدود ۴ روز فقط غذاهای نرم بخورید.

برای کمک کردن به تسریع بهبودی مواد غذایی حاوی کلسیم مصرف کنین.

اصلا از نی برای نوشیدن استفاده نکنید.

این کار لخته خون رو از بین برده و عارضه دردناک حفره خشک رو به وجود میاره.

بهبودی می تواند به عوامل مختلفی بستگی داشته باشد. یکی از این عوامل شامل مراقبت های بیمار برای تکمیل درمان ایمپلنت می باشد.

یکی از این مراقبت ها داشتن عادات بهداشتی مناسب و صحیح برای رعایت صحیح بهداشت دهان و دندان ها می باشد که به جوش خوردن بهتر ایمپلنت با استخوان فک کمک کرده  و موثر می باشد.

توجه داشته باشید از عوامل موفقیت آمیز نبودن درمان کاشت ایمپلنت، استفاده نکردن از مسواک و نخ دندان می باشد که این موضوع می تواند منجر به ایجاد عفونت در اطراف ایمپلنت بشود.

همچنین سیگار کشیدن نیز از عوامل موفقیت آمیز نبودن یا شکست در درمان ایمپلنت است که باید از مصرف آن و استعمال دخانیات جلوگیری کرد.

توجه داشته باشید زمانی که تاج موقت ایمپلنت همزمان با جراحی روی اباتمنت قرار می گیرد، تمیز کردن آن مانند یک دندان طبیعی بسیار با اهمیت می باشد، زیر این موضوع در فرآیند ترکیب شدن ایمپلنت با استخوان فک تاثیر بسیاری دارد.

زمان جوش خوردن ایمپلنت دندان با استخوان فک تا ۲۴ هفته ممکن است به طول بیانجامد. اندازه گیری و نصب تاج ایمپلنت ممکن است تا چندین هفته طول بکشد. توجه داشته باشید اما این زمان بندی برای افراد مختلف و در شرایط مختلف متفاوت می باشد.

هزینه ایمپلنت دندان چقدر است؟

هزینه و قیمت ایمپلنت دندان بستگی به شرایط دندانی فرد دارد این قیمت بعد از ویزیت توسط متخصص ایمپلنت مشخص خواهد شد. عوامل بسیاری وجود دارد که قیمت ایمپلنت دندان را تعیین می کند. از جمله عواملی که می توان به آن اشاره کرد :

توسط پزشک متخصص انجام می شود یا عمومی.

نیاز به پیوند استخوان دارد یا نه.

نیاز به سینونس لیفت(بالا بردن سینوس)

برند ایمپلنت

 

 

 

اطلاعیه:قیمت ایمپلنت دندان 5.200.000 به جای 6.200.000 فقط تا 5 روز آینده

امکان اقساط تا 70 درصد از کل مبلغ فراهم شده است.

برای مشاوره و ارسال عکس میتوانید با شماره زیر از طریق واتس آپ در ارتباط باشید.

09363558965 زیبایی

09393559163 درمانی

 

 

همین حالا کلیک نمایید و عکس لبخندتان را برای ما بفرستید. 

تا مشاوره و هزینه‌ی حدودی آن از طرف متخصص زیبایی برای شما ارسال گردد.

(تصاویر به گونه‌ای که 16 دندان جلو مشخص باشد.)

دیگر مطالب مفید کلینیک دندانپزشکی سیب سفید:

0 نظر

ارسال نظر

!
!
ارسال شماره همراه شما منتشر نمی شود.

رزرو وقت

جهت دریافت نوبت آنلاین در کلینیک دندانپزشکی سیب‌سفید فرم رزرو را پر کنید تا در اسرع وقت با شما تماس بگیریم.

رزرو وقت

!
!
!