آدرس : شاهین شمالی، روبروی خرم‌شاد. تماس : 02144461471-02144451453

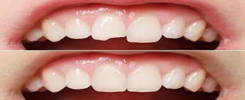
ترمیم دندان شکسته با کامپوزیت

کامپوزیت دندان یکی از راه‌حل‌ها سریع برای پوشاندن نقص‌های دندان است. تا جایی که امروزه ترمیم دندان شکسته با کامپوزیت به عنوان یک روش رایج محبوبیت خاصی پیدا کرده است.

ترمیم دندان شکسته با کامپوزیت
17 خرداد 1402
0

ترمیم دندان شکسته با کامپوزیت

کامپوزیت دندان یکی از راه‌حل‌ها سریع برای پوشاندن نقص‌های دندان است. تا جایی که امروزه ترمیم دندان شکسته با کامپوزیت به عنوان یک روش رایج محبوبیت خاصی پیدا کرده است.

دندان‌های انسان ممکن است به دلایل مختلفی صدمه دیده یا دچار شکستگی بشوند. معمولاً این شکستگی‌ها علاوه بر مشکلات جویدن، باعث بدفرم شدن شکل ظاهری دندان‌ها نیز می‌شوند مخصوصاً اگر دندان‌های قسمت جلو باشند. به همین دلیل فرد ترجیح می‌دهد خیلی سریع برای ترمیم آن اقدام کند.داشتن دندان‌های کج و نامرتب علاوه بر مشکلات سلامتی، که زیبایی و اعتمادبه‌نفس افراد را تحت تأثیر قرار می‌دهد. داشتن یک لبخند زیبا، هدیه ارزشمندی است که سبب می‌شود دیگران از مصاحبت و هم‌نشینی با شما لذت ببرند. پس اصلاح کجی دندان با کامپوزیت می‌تواند راه مناسبی برای درمان افرادی باشد که به خاطر دندان‌های نامرتب، لبخند خود را از دیگران دریغ می‌کنند.

بهترین راه ترمیم دندان شکسته

اگر دندان شما به نحوی شکست که نگهداری از تکه شکسته آن برایتان مقدور است، بهتر است آن را نگهدارید. زیرا در موارد خاصی ممکن است دندان‌پزشک بتواند از طریق راه‌های ترمیمی آن را به دندان شما متصل کند.

در چند سال گذشته نیز معمولاً توصیه می‌شد، دندان شکسته را بکشید و سپس از انواع کاشت دندان برای پر کردن جای آن کمک بگیرید. البته این روش باعث می‌شد دندان طبیعی خود را به طور کامل از دست دهید و متحمل هزینه‌های گزافی برای کاشت دندان شوید.

اما امروزه روش‌های مدرن‌تر و مطمئن‌تری نیز برای این اتفاق وجود دارد. استفاده از ونیر کامپوزیت برای دندان شکسته، مخصوصاً دندان جلو می‌تواند یکی از سریع‌ترین روش‌های مؤثر باشد. با این روش هم دندان دائمی شما حفظ می‌شود و هم اینکه با روکش‌های ونیر شکل ظاهری آن اصلاح شده و حتی زیباتر از قبل می‌گردد.

مراحل ترمیم دندان شکسته با کامپوزیت

زمانی که با توجه به گستردگی شکستن دندان و شکل ظاهری آن، به این نتیجه برسید که استفاده از کامپوزیت دندان بهترین روش ترمیم آن است؛ دندان‌پزشک باید مراحل زیر را برای شما انجام دهد:

  1. ابتدا اگر فرم دندان شما بیش از حد نامنظم باشد، متخصص باید کمی از دندان شما را بتراشد.
  2. دندان‌پزشک با استفاده از کاتالوگ رنگی، مناسب‌ترین رنگ را برای شما انتخاب نماید.
  3. سپس سطح دندان‌ها را با استفاده ژل مخصوص تمیز کند.
  4. در این مرحله لازم است از چسب باندینگ برای اتصال پیوند بین مواد کامپوزیت و دندان کمک بگیرد.
  5. حالا وقت آن است که از ترکیب رزین و سایر مواد، ماده خمیری شکل کامپوزیت را آماده کند.
  6. ماده کامپوزیت باید به صورت لایه‌لایه روی سطح دندان قرار بگیرد تا نقص آن را کاملاً پوشش دهد.
  7. زمانی که در هر مرحله متخصص مطمئن شد فرم دندان همان چیزی است که مد نظر شماست، نوبت به سفت کردن ونیر کامپوزیت با استفاده از نور آبی است.
  8. در نهایت لازم است با مواد پالیش سطح دندان را صاف و براق کند.
  9. در تمام طول مدت انجام کامپوزیت دندان‌پزشک باید محیط دهان و اطراف دندان را از گونه بزاق و رطوبت محفوظ نگه دارد. زیرا رطوبت حتی نیم ساعت بعد از اتمام کار نیز می‌تواند روی کیفیت کامپوزیت تأثیر منفی بگذارد.

مزایای استفاده از کامپوزیت برای ترمیم دندان شکسته

نسبت به سایر روش‌هایی که تا به حال برای ترمیم دندان شکسته بکار گرفته می‌شد، استفاده از کامپوزیت مزایای خاص خودش را دارد:

  • نیاز به کمترین تغییر در دندان:

برای انجام کامپوزیت لازم نیست تغییر زیادی روی دندان اعمال شود. مثلاً دندان کشیده شود یا اینکه تراشیده شود. یک دندان‌پزشک با تجربه می‌تواند با حداقل دست‌کاری، بهترین نتیجه را از ونیر کامپوزیت بگیرد.

  • سریع و زودبازده:

برخلاف بسیاری از کارهای دندانپزشکی، کامپوزیت کردن دندان در اکثر مواقع تنها در یک جلسه به پایان می‌رسد.

  • حداقل اختلاف رنگی

یکی از ویژگی‌های روکش کامپوزیت که با اختلاف زیاد باعث برتری آن می‌شود، داشتن طیف رنگی گسترده است. متخصص به‌راحتی می‌تواند نزدیک‌ترین رنگ یا رنگ کاملاً مشابه با دندان شما را پیدا کرده و از آن برای کاور کردن دندان استفاده کند.

  • قیمت کم

کامپوزیت دندان یکی مقرون به صرفه‌ترین کارهای دندانپزشکی محسوب می‌شود. به همین دلیل معمولاً بعد از پیشنهاد متخصص برای استفاده از کامپوزیت برای ترمیم دندان شکسته، اغلب بیماران با آن مخالفت نمی‌کنند.

  • ماندگاری زیاد

اگر تمام نکاتی که متخصص به شما توصیه می‌کند را به دقت رعایت کنید و استفاده از نخ دندان و مسواک را جز جدا نشدنی روتین خود قرار دهید، این روکش‌ها می‌تواند 8 تا 10 سال در دهان شما ماندگار شوند.

مراقبت‌های بعد از ترمیم دندان با کامپوزیت

این روش که یکی از کم تهاجمی‌ترین روش‌های ترمیم محسوب می‌شود، دوران نقاهت کمی داشته و نیاز به مراقبت ویژه‌ای ندارد.

  1. بهتر است تا چند ساعت بعد از کامپوزیت از خوردن و آشامیدن خودداری نمایید.
  2. تا 48 ساعت مانع تماس هر گونه نوشیدنی کافئین دار یا خوراکی رنگ‌دانه دار با سطح دندان شوید. اگر نیاز به مصرف چای یا قهوه داشتید بهتر است از نی استفاده نمایید.
  3. حداقل دو بار در روز مسواک بزنید و چند بار نخ دندان کنید.
  4. از دندان استفاده ابزاری نکنید.
  5. مواظب ضربه ناگهانی به دندان باشید.

آیا امکان افتادن کامپوزیت وجود دارد؟

اگر عملیات بچ شدن دندان و باندینگ به‌صورت ناقص انجام شود یا اینکه ضربه شدیدی به دندان وارد گردد، امکان افتادن روکش وجود دارد. پوسیدگی شدید دندان نیز می‌تواند منجر به افتادن روکش شود.

آیا استفاده از کامپوزیت برای ترمیم دندان شکسته یک روش دائمی است؟

این روش جز اقدامات با دوام و طولانی‌مدت دندانپزشکی محسوب می‌شود. زیرا 8 تا ده سال ماندگار است و پس از این مدت نیز به راحتی ترمیم می‌شود.

 

جدول دسترسی سریع، کلیک کنید.

پاسخ دکتر به تصاویر ارسال شده

کامپوزیت دندان چیست؟
نمونه کامپوزیت های انجام شده در کلینیک سیب سفید
چه کسانی نباید از کامپوزیت دندان استفاده کنند؟
کسانی که لثه های بزرگ و چشم گیر دارند برای زیبایی چه باید انجام دهند؟
طول عمر کامپوزیت دندان چقدر است و پس از آن چه باید کرد؟ هزینه کامپوزیت دندان چقدر است و چه تعداد دندان نیاز به کامپوزیت دارد؟
بعد از کامپوزیت دندان چه شکلی میشوم؟ (ارسال عکس) تفاوت لمینت سرامیکی و کامپوزیتی در چیست؟
تفاوت کامپوزیت دندان و بلیچینگ دندان در چیست؟ رایج ترین سوالات درمورد کامپوزیت دندان چیست؟
چگونه بهترین کامپوزیت دندان مناسب شکل صورت خود را انتخاب کنید؟ اگر روی دندان هایم تاج دندان یا کامپوزیت ونیر داشته باشم می توانم از ارتودنسی استفاده کنم؟

فیلم انجام کامپوزیت دندان به روش جدید

ارسال عکس جهت مشاوره اینترنتی با متخصص زیبایی

دیگر مطالب مفید کلینیک دندانپزشکی سیب سفید:

 

0 نظر

ارسال نظر

!
!
ارسال شماره همراه شما منتشر نمی شود.

رزرو وقت

جهت دریافت نوبت آنلاین در کلینیک دندانپزشکی سیب‌سفید فرم رزرو را پر کنید تا در اسرع وقت با شما تماس بگیریم.

رزرو وقت

!
!
!