با پرکردن فرم نوبت خود را رزرو کنید.
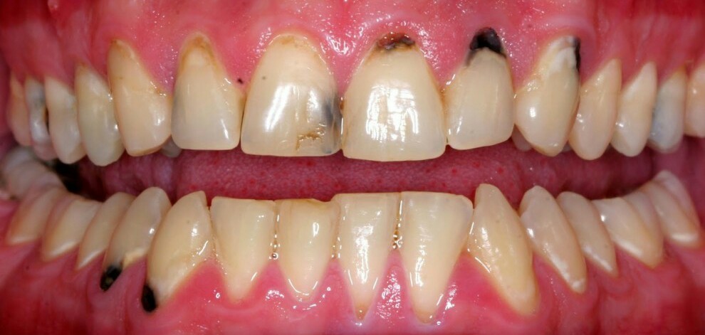
امروزه با پیشرفت روشهای درمانی در حوزهی دندانپزشکی و تغییر درعادات زندگی میتوان از به وجود آمدن این لکهها جلوگیری کرد.رنگ این لکههای روی دندان میتواند از زرد تا قهوهای یا حتی سیاه تغییر کند. اندازه و شکل این لکه نیز متفاوت است، برخی بسیار مشهود و مشخص هستند برخی دیگر هم بسیار خفیف و نا مرتب
شرایط اقساط دندانپزشکی: 70 درصد از مجموع هزینه دندانپزشکی شما به صورت بلند مدت و تا 10 ماه اقساط میگردد.برای اطلاعات بیشتر تماس بگیرید:453 451 44 -021 و 471 461 44 - 021 |
امروزه با پیشرفت روشهای درمانی در حوزهی دندانپزشکی و تغییر درعادات زندگی میتوان از به وجود آمدن این لکهها جلوگیری کرد. رنگ این لکههای روی دندان میتواند از زرد تا قهوهای یا حتی سیاه تغییر کند. اندازه و شکل این لکه نیز متفاوت است، برخی بسیار مشهود و مشخص هستند برخی دیگر هم بسیار خفیف و نامرتب پراکنده شده اند.

در ادامه ما علل به وجود آمدن این لکه ها و چگونگی حذف و جلوگیری از پیدایش آنها را میآوریم.
1) مواد غذایی دارای اسید تانیک
اکثر غذاها و نوشیدنی های دارای مواد شیمیایی به نام کروموژن هستند. مانند خود اسید تانیک که عامل اصلی لکه دار کردن مینای دندان میباشد. با گذر زمان لکههای روی دندان میتوانند دائمی شوند به خصوص اگر فرد بهداشت دهان و دندان را رعایت نکند. از سوی دیگر نوشیدنیها وغذاهای دارای رنگدانه ها مصنوعی نیز باعث رنگ گرفتن دندانها نیز میشوند.
2) مصرف نیکوتین
مصرف نیکوتین باعث نفوذ این ذرات در حفرههای میکروسکوپی دندان میشوند که با مصرف دوباره باعث ایجاد لکه بر روی دندانهای فرد میشود. این لکه ها به مرور زمان سخت تر و تیره تر میشوند.
بیشتر بخوانید: عوارض ارتودنسی، کامپوزیت دندان، مراقبت از دندانها، درمان خانگی خونریزی لثه (پریودنتال)، ارتودنسی سرامیکی
3) تارتار
در داخل دهان باکتریهای زیادی به طور مداوم با بزاق دهان مخلوط شده و باعث ایجاد پلاک بر روی دندان میشوند. سطوح مختلف پلاکهای دندانی با زدن مسواک و استفاده از نخ دندان کنترل میشود.
حال اگر بهداشت دهان و دندان ضعیف باشد باعث ایجاد مس شده و تبدیل به پوشش دائمی میشود که به عنوان تارتار شناخته شده است. هنگامی که تارتار شکل گرفت تنها یک متخصص دندانپزشکی قادر به حذف کردن آن خواهد بود.
عوامل ایجاد تارتار در دهان:
وجود اسید در دهان باعث از بین بردن مینای دندان شده بنابراین زمانی که شما مواد قندی را مصرف میکنید باکتریها و تارتارها آن را جذب کرده و اسید تولید میکنند و سبب تضعیف مینای دندان میشود. همانگونه که اسیدها مینای دندان را از بین میبرند لایههای زیرین و زرد رنگ زیر دندان آشکارتر میشود و باعث میشود دندان دارای لکههای قهوهای یا زرد رنگ شود. پوسیدگی دندان اصولا باعث آسیب به ریشه دندان و عصب میشود بنابراین دندانها به نوشیدنی ها و غذاهای سرد و گرم بسیار حساس میشوند.

5) کهولت سن
هر چه سن بالاتر میرود مینای دندان که از دندانهای انسان محافظت میکند از بین رفته و لایههای زیرین دنتین زرد نمایان میشود. این فرآیند میتواند به لکههای زرد و قهوهای با سایزهای مختلف منجر شود.
رنگ دندان برخی افراد ممکن است بر اثر عوامل ژنتیکی تیره تر باشد.
دیگر عوامل ژنتیکی دندان:
برخی از درمانها مانند پرکردن دندانها و پلهای دندانی به مرور زمان از بین رفته و رنگ خود را از دست دادهاند و رنگ فلز پر کننده دندان نمایان میشود.
برخی داروها مانند آنتی بیوتیک تتراسایکلین، کلرهگزیدین و گلبنکلامید باعث تغییر رنگ دندان و ایجاد لکههای قهوهای بر روی دندان میشوند. این امر در کودکان بسیار رایجتر است.
شرایط اقساط دندانپزشکی: 70 درصد از مجموع هزینه دندانپزشکی شما به صورت بلند مدت و تا 10 ماه اقساط میگردد.برای اطلاعات بیشتر تماس بگیرید:453 451 44 -021 و 471 461 44 - 021 |
همین حالا کلیک نمایید و عکس لبخندتان را برای ما بفرستید.تا مشاوره و هزینهی حدودی آن از طرف متخصص زیبایی برای شما ارسال گردد.(تصاویر به گونهای که 16 دندان جلو مشخص باشد.) |
جهت دریافت نوبت آنلاین در کلینیک دندانپزشکی سیبسفید فرم رزرو را پر کنید تا در اسرع وقت با شما تماس بگیریم.
شما می توانید با وارد کردن ایمیل در خبرنامه عضو شوید.