آدرس : شاهین شمالی، روبروی خرم‌شاد. تماس : 02144461471-02144451453

پالیش دندان (پولیش دندان) کامپوزیت چیست؟

متخصصان در هنگام نصب کامپوزیت برای حفظ بعضی از ویژگی‌های سطحی کامپوزیت دندان و همین‌طور ترمیم سطوح و بازگرداندن درخشش در سال‌های بعدی از پالیش کامپوزیت دندان استفاده می‌کنند.

پالیش(پولیش) کامپوزیت دندان چیست؟

متخصصان در هنگام نصب کامپوزیت برای حفظ بعضی از ویژگی‌های سطحی کامپوزیت دندان و همین‌طور ترمیم سطوح و بازگرداندن درخشش در سال‌های بعدی از پالیش کامپوزیت دندان استفاده می‌کنند.

اهمیت پالیش دندان بعد از کامپوزیت

کامپوزیت یا لمینت دندان نیز مانند سایر اقداماتی که به‌منظور زیبایی انجام می‌شوند، به مراقبت و نگهداری نیاز دارد. پالیش کامپوزیت دندان یکی از مهم‌ترین مراحل این نگهداری به‌حساب می‌آید که مزایای قابل توجهی نیز دارد:

  • صاف شدن سطح کامپوزیت‌ها بعد از هر پولیش باعث جلا و براق شدن و درنهایت منجر به زیبایی بیشتر می‌شود.
  • پالیش کامپوزیت دندان مانند جرم‌گیری عمل کرده و فواید زیادی برای دهان و دندان دارد.
  • مراقبت از مینای دندان یکی از اهداف مهم پالیش کامپوزیت به شمار می‌رود.
  • جرم‌گیری سطوح کامپوزیت مانع از سوزش لثه، تجمع باکتری‌ها و پلاک‌های مضر، پوسیدگی دندان و بوی بد دهان می‌گردد.

پالیش کامپوزیت دندان چرا برای حفظ زیبایی آن لازم است؟

همان‌طور که میدانید کامپوزیت یکی از روش‌های موقتی زیبایی است و به‌طور مداوم نیاز به مراقبت و گاها ترمیم دارد. البته اگر این رسیدگی‌ها به بهترین نحو و مطابق با دستورات پزشک انجام گیرد، هر کامپوزیت حتی تا ده سال هم می‌تواند دوام داشته باشد.

اما به‌هرحال دلایل زیادی وجود دارند که سبب ایجاد خراش و از بین رفتن صافی سطوح روکش‌های کامپوزیت می‌شوند. به همین علت به‌مرورزمان، براقیت و زیبایی آن‌ها کاهش یافته و برای درمان آن باید پالیش کامپوزیت دندان انجام داد.

  1. استفاده از خمیردندان نامناسب:

برخی از خمیردندان‌ها به دلیل وجود ذرات ریز باعث ایجاد ساییدگی سطوح کامپوزیت می‌شوند. بهتر است بعد از روکش کردن دندان‌ها از دندان‌پزشکتان بخواهید خمیردندان مناسبی را به شما معرفی کند.

  1. مسواک‌های زبر دشمن کامپوزیت هستند:

شاید شما هم جز افرادی هستید که گمان می‌کنند استفاده از مسواک زبر باعث نابودی جرم‌ها و تمیزی دندان می‌شود. اما باید بدانید هر چیز خشن و زبری از جمله مسواک، می‌تواند به کامپوزیت و لمینت صدمه بزند.

برای حفظ بیشتر براقیت روکش‌ها لازم است از مسواک‌های نرم و مناسب استفاده کنید. شما می‌توانید برای از بین رفتن کامل جرم‌ها نخ دندان را مدنظر قرار دهید و همچنین برای تمیزی بهتر، بعد از هر وعده غذایی یا مواد خوراکی رنگی مسواک بزنید.

  1. پودر پومیس برای پالیش

بسیاری از متخصصان ترجیح می‌دهند پس از پایان کامپوزیت دندان برای رضایت بیمار و ایجاد براقیت بیشتر از پودر پومیس استفاده کنند. درست است این پودر برای مینای دندان تهدیدی به حساب نمی‌آید. اما می‌تواند زمینه‌ساز ایجاد خراش روی روکش‌ها باشد. به همین دلیل بهتر است در صورت مشاهده استفاده از پودر پومیس برای پولیش کامپوزیت دندان، حتماً این نکته را مدنظر قرار دهید.

  1. دهان‌شویه حاوی الکل

الکل موجود در دهان‌شویه می‌تواند میزان استحکام کامپوزیت را تحت تأثیر قرار دهد و آسیب‌پذیری آن را بیشتر کند. زمانی که این روکش‌های کامپوزیتی نرم‌تر از میزان استاندارد خود باشند، کوچک‌ترین عاملی می‌تواند باعث بروز لک یا خراش روی آن گردد.

چه زمانی باید برای پالیش کامپوزیت دندان اقدام کرد؟

حال که اهمیت پالیش کامپوزیت دندان را درک کردید لازم است بدانید چه زمانی باید برای این کار اقدام نمایید؟

  • پالیش آخرین مرحله نصب کامپوزیت است:

زمانی که برای نصب روکش اقدام می‌کنید، اصلاح جزییات بعد از پایان کار یکی از موارد ضروری است. متخصصان برای بهبود این روند از مزایای پالیش کامپوزیت بهره می‌برند.

  • به‌صورت سالانه یا دو سال یک‌بار روکش‌ها را پالیش کنید:

همان‌طور که گفتم دوام و زیبایی کامپوزیت ارتباط مستقیمی با میزان رسیدگی و مراقبت‌های شما دارد. اما به‌طور معمول بعد از یک الی دو سال جذابیت و زیبایی اولیه روکش‌های کامپوزیت کم شده یا حتی از بین می‌روند. به همین دلیل لازم است در دوره‌های چکاب خود پالیش را نیز مدنظر قرار دهید.

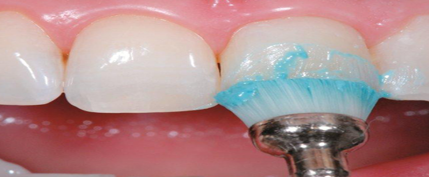
مراحل انجام پالیش کامپوزیت دندان

  1. در مرحله اول دندان‌پزشک باید سطح سلامت روکش‌ها و مواردی که نیاز به ترمیم دارند را بررسی کند و سپس برای پالیش تصمیم بگیرد.
  2. لایه گذاری به‌عنوان حساس‌ترین مرحله محسوب می‌شود. متخصص باید بتواند از حداقل ضخامت لایه برای ایجاد یک سطح صاف و یکنواخت استفاده کند.
  3. استفاده از مناسب‌ترین ابزارها برای فرم دهی پالیشها بعد از لایه گذاری ضروری است.
  4. بعد از خشک شدن کامپوزیت‌ها از یک ابزار چرخشی برای مرحله فینیشینگ استفاده می‌شود.

عوامل تاثیرگذار روی پالیش کامپوزیت دندان

عواملی که روی کیفیت پالیش کامپوزیت دندان تأثیر می‌گذارند به دو دسته تقسیم می‌شوند:

  1. 1. ابزارها:
  • یک دندان‌پزشک باتجربه به‌خوبی تشخیص می‌دهد که برای هر فرد باید از چه ابزار یا ابزارهایی استفاده کند.
  1. 2. تکنیک
  • روش تک‌مرحله‌ای

برای به حداقل رساندن زمان انجام کار می‌توان از پولیشرهای الماسی استفاده کرد.

  • روش چندمرحله‌ای

کانتورینگ، فینیشینگ و پولیشینگ مراحل مختلفی هستند که توسط ابزارهای گوناگونی صورت می‌گیرند. مسلماً با صرف زمان بیشتر در این روش کیفیت مطلوب‌تری حاصل خواهد شد.

هزینه پالیش کامپوزیت دندان

پالیش کامپوزیت یکی از کم‌هزینه‌ترین و ارزان‌ترین خدمات دندانپزشکی به‌حساب می‌آید. این قیمت از چندصد هزار تومان به بالا متغیر بوده و البته به موارد مختلفی بستگی دارد:

  • کلینیک دندان‌پزشکی: میزان تجهیزات و خدمات، متدهای درمان و سایر عوامل می‌توانند تعیین‌کننده هزینه‌های هر کلینیک باشند.
  • میزان تخصص دندان‌پزشک: سطح تحصیلات و مهارت دندان‌پزشکان ارتباط مستقیمی با دستمزد آن‌ها دارد.
  • نوع بیمه: انواع بیمه‌های درمانی وجود دارند که هزینه‌های دندانپزشکی را به عهده گرفته و خدمات رفاهی بیشتری برای پوشش‌دهندگان خود فراهم می‌کنند.

آیا انجام پولیش کامپوزیت دندان ضرورت دارد؟

به‌منظور حفظ سلامت و زیبایی دهان و دندان لازم است به‌صورت دوره‌ای از مزایای پولیش استفاده کنید.

قیمت پولیش دندان چقدر است؟

همان‌طور که در متن اشاره کردم هزینه این کار به عوامل مختلفی بستگی دارد.

جدول دسترسی سریع، کلیک کنید.

پاسخ دکتر به تصاویر ارسال شده

کامپوزیت دندان چیست؟
نمونه کامپوزیت های انجام شده در کلینیک سیب سفید
چه کسانی نباید از کامپوزیت دندان استفاده کنند؟
کسانی که لثه های بزرگ و چشم گیر دارند برای زیبایی چه باید انجام دهند؟
طول عمر کامپوزیت دندان چقدر است و پس از آن چه باید کرد؟ هزینه کامپوزیت دندان چقدر است و چه تعداد دندان نیاز به کامپوزیت دارد؟
بعد از کامپوزیت دندان چه شکلی میشوم؟ (ارسال عکس) تفاوت لمینت سرامیکی و کامپوزیتی در چیست؟
تفاوت کامپوزیت دندان و بلیچینگ دندان در چیست؟ رایج ترین سوالات درمورد کامپوزیت دندان چیست؟
چگونه بهترین کامپوزیت دندان مناسب شکل صورت خود را انتخاب کنید؟ اگر روی دندان هایم تاج دندان یا کامپوزیت ونیر داشته باشم می توانم از ارتودنسی استفاده کنم؟

فیلم انجام کامپوزیت دندان به روش جدید

ارسال عکس جهت مشاوره اینترنتی با متخصص زیبایی

دیگر مطالب مفید کلینیک دندانپزشکی سیب سفید:

0 نظر

ارسال نظر

!
!
ارسال شماره همراه شما منتشر نمی شود.

رزرو وقت

جهت دریافت نوبت آنلاین در کلینیک دندانپزشکی سیب‌سفید فرم رزرو را پر کنید تا در اسرع وقت با شما تماس بگیریم.

رزرو وقت

!
!
!