با پرکردن فرم نوبت خود را رزرو کنید.
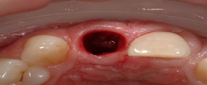
حفره خشک دندان چیست؟ حفره خشک دندان. علت بروز حفره خشک دندان. عوامل موثر بر حفره خشک دندان. عوامل خطر حفره خشک دندان. علائم بروز حفره خشک دندان. درمان حفره خشک دندان. آیا امکان درمان حفره خشک دندان وجود دارد؟
شرایط اقساط دندانپزشکی: 70 درصد از مجموع هزینه دندانپزشکی شما به صورت بلند مدت و تا 10 ماه اقساط میگردد.برای اطلاعات بیشتر تماس بگیرید:453 451 44 -021 و 471 461 44 - 021 |
همین حالا کلیک کنید و عکس لبخندتان را به اینجا بفرستید.تا مشاوره و هزینهی حدودی آن از طرف متخصص زیبایی برای شما ارسال گردد.(تصاویر به گونهای که 16 دندان جلو مشخص باشد.) |
حفره خشک معمولا بعد از کشیدن دندان بوجود میآید. بعد از کشیدن دندان، لخته خونی جهت حفاظت از استخوانها، اعصاب و بافت ایجاد میشود. وقتی حفره خشک رخ دهد، در واقع خبری از لخته شدن خون نیست و ممکن است به اعصاب و استخوانها آسیب بزند.
بعد از کشیدن دندان ممکن است فرد دچار حفره خشک شود، اما دلیل مشخصی برای بروز این عارضه وجود ندارد. چند عامل باعث تشدید حفره خشک میشود که در اینجا به مهمترین این عوامل اشاره کردهایم:
بیشتر بخوانید: مدت زمان و طول درمان ارتودنسی، درمان سفید شدن لثهها، مزایا و معایب ایمپلنت دندان، کیست دندان، اوربایت دندان

دندانپزشک برای درمان حفره خشک، راههایی ارائه میدهد تا از درد بیمار کاسته شود. از جمله کارهایی که دندانپزشک در این خصوص انجام میدهد، عبارت اند از:
بعد از انجام این دسته از کارها توسط پزشک، بیمار باید تا چند روز در خانه نیز کارهایی برای التیام محل زخم انجام دهد:
شرایط اقساط دندانپزشکی: 70 درصد از مجموع هزینه دندانپزشکی شما به صورت بلند مدت و تا 10 ماه اقساط میگردد.برای اطلاعات بیشتر تماس بگیرید:453 451 44 -021 و 471 461 44 - 021 |
همین حالا کلیک کنید و عکس لبخندتان را به اینجا بفرستید.تا مشاوره و هزینهی حدودی آن از طرف متخصص زیبایی برای شما ارسال گردد.(تصاویر به گونهای که 16 دندان جلو مشخص باشد.) |
جهت دریافت نوبت آنلاین در کلینیک دندانپزشکی سیبسفید فرم رزرو را پر کنید تا در اسرع وقت با شما تماس بگیریم.
شما می توانید با وارد کردن ایمیل در خبرنامه عضو شوید.