با پرکردن فرم نوبت خود را رزرو کنید.
اصلاح و بستن فاصله بین دندان ها، استفاده از کامپوزیت دندان در اصلاح فاصله بین دندان ها، اصلاح انحراف خطوط میانی بین دندان ها، روش کامپوزیت مسقیم در بستن فاصله ی بین دندان ها، انحراف خطوط میانی دندان ها
تنها تا 15 اسفند ماه: کامپوزیت دندان هر واحد 540 هزار تومان به جای 700 هزار تومانامکان پرداخت اقساط بلند مدتمشاوره از طریق ارسال عکس به واتساپ یا تلگرام09122234921 |
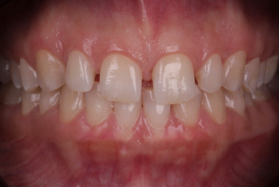
کامپوزیت دندان: فاصله ی زیاد بین دندان های جلویی اعتماد به نفس بسیاری از افراد را تحت تأثیر قرار می دهد و یکی از چالش های دندانپزشکی زیبایی می باشد. همانطور که در این مورد مشاهده می کنید، اغلب در این شرایط موقعیت خطوط میانی دندان ها و نیز کجی تحت تاثیر قرار می گیرد، این نمونه نشان می دهد که همه ی این موارد نمی توانند با یک روش مشابه درمان شوند. اگرچه گزینه های درمانی زیادی در دسترس هستند، انتخاب و تشخیص روش مناسب برای رسیدن به موفقیت کلیدی است. در این مقاله یک روش کامپوزیت دندان مستقیم برای بستن فاصله ها و تصحیح انحراف خط میانی انتخاب شده است.

این خانم جوان 20 ساله دلیل وجود فاصله های متعدد بین دندان ها از لبخندش ناراضی بود. او به دلیل مدت زمان طولانی درمان و نیز محدودیت های مالی، تحت درمان ارتودنسی قرار نمی گیرد. بنابراین پس از بحث در مورد گزینه های درمانی مختلف، برای ترمیم لبخندش، روشی مستقیم که مقرون به صرفه و کم تهاجمی بود انتخاب کرد.
بیشتر بخوانید: ایمپلنت چیست؟ انواع ایمپلنت دندان، مزایا و معایب ایمپلنت دندان، طول عمر کامپوزیت دندان، انواع ارتودنسی دندان، ارتودنسی با لیزر

در اینجا علاوه بر فضاهای ناهموار بین دندان ها چالش دیگر وجود انحراف خط میانی به سمت چپ بود.

برای بازبینی تناسب و فضای موجود، از طراحی دیجیتالی لبخند استفاده شد. همچنین DSD برای ایجاد بررسی جهت اصلاح خط میانی و ارزیابی اینکه کدام سمت برای بستن فاصله ها و مرکزیت دادن به خط میانی جدید مناسب می باشد مورد استفاده قرار گرفته است.

تطبیق رنگ و تجزیه و تحلیل باید قبل از ایزوله کردن بند لاستیکی انجام شود، یعنی زمانی که دندان ها به طور کامل هیدرات شده باشند؛ در غیر این صورت با انتخاب یک مورد که بیش از حد سفید باشد خطر ناسازگاری رنگ ها وجود دارد.

یک تصویر پلاریزه نیز با استفاده از فیلتر متقارن کننده ی MDP SmileLite برای بررسی تناسب لایه ی انتخاب شده گرفته شد.

دندان ها با بند لاستیکی جدا شدند و برآمدگی های نوک دار با نخ لیگاتور برای دید بهتر و دسترسی به مشخصات نمای جلویی جهت جلوگیری از اشتباهات در طراحی منفذ گردنی عقب کشیده شدند. دندان ها با پومیک (بدون فلوراید) تمیز شدند و سطح دندان با یک دیسک زبر برای برداشتن مینای خارجی، جهت اطمینان برای اتصال قوی تر، ساییده شدند.

قبل از ساییدن مینا به مدت 30 ثانیه با نوار تفلون از دندان های مجاور محافظت شد. سپس به مدت 60 ثانیه تیزآب را شستشو دادم تا به طور کامل اسید از بین برود.

پس از فرآیند ساییدن، تمام مینا باید به سفیدی گچ باشد.

پس از اعمال چسب، حتما باید لایه ی پیوندی را به آرامی هوا شویی کنید تا محلول تبخیر شود. مدت زمان طولانی نور درمانی (مراقبت باشید که دندان ها بیش از حد گرم نشوند) باعث می شود حداکثر میزان مونومر پلیمر و یک پیوند قوی تر را تضمین می کند.

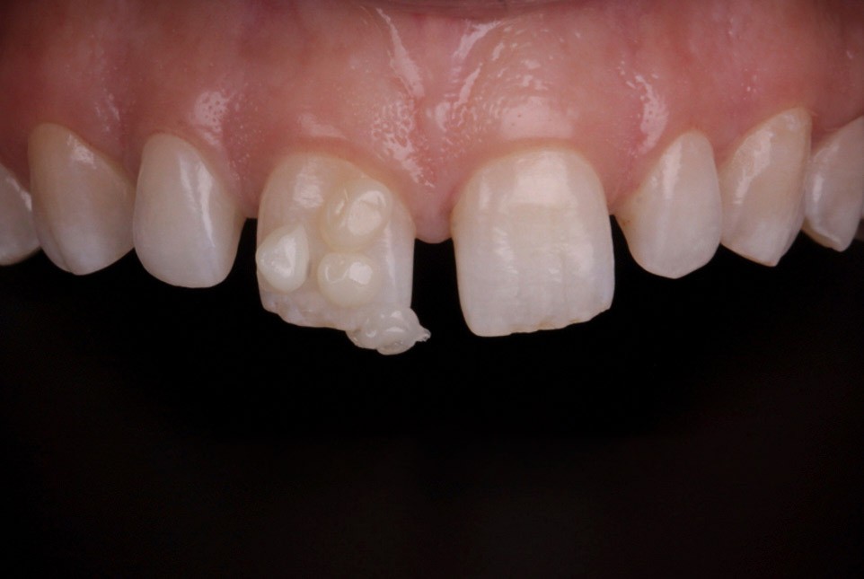
یک شاخص سیلیکونی را برای قرار دادن پوسته های کامپوزیت دندان (E White Dental Beauty CompoSite System) ساخته شد.

ساختن دیوارهای پروگزیمال با ماتریس های مقطعی فلزی آسان است. لایه ی SI2 از کیت "کامپوزیت دندان" سفید استفاده شد. کنترل قاب بیرونی ترمیم مان در لایه سازی یک گام قابل پیش بینی و به حداقل رساندن اصلاحات شکل نهایی یک قدم بسیار مهم است.

همانطور که می بینید، لایه ی کامپوزیت دندان SI2 مان اگر چارچوب کاری شما دقیق باشد، آسان است.

پس از آن، یک لایه ی دنتین SI1 استفاده شد و لایه بندی با استفاده از لایه ی مینا و تعدادی لکه ی آبی بین پیشآمدگی ها برای مشخصات بهتر به پایان رسید.

من مجبور بودم این تماس بین دندان ها را اصلاح کنم تا از ظاهر شدن منفذ گردنی سیاه جلوگیری شود و ظاهر کلی لبخند را زشت نکند.

روش های نهایی برای رسیدن به نتیجه ای شگفت انگیز بسیار مهم هستند. اول، خطوط زاویه ای را با یک تیغه الماس ریز شکل دادم و خطوط لبه را با تیغه الماس نوک تیز دندانه دار بلند اصلاح کردم.

سطح کامپوزیت را با یک جلادهنده ی پلاستیکی چرخشی جلا داده شد.

هنگامی که با استفاده از چسب جلا می دهم (G درخشان) بدون آب 1000 دور در دقیقه و با آب 10،000 دور در دقیقه آن را انجام می دهم.

چسب بیشتر (1 میکرون چسب اکسید آلومینیوم) برای جلا دادن با یک نمد نرم با سرعت 1000 دور در دقیقه ابتدا بدون آب و سپس با سرعت 10،000 دور در دقیقه با آب برای رسیدن به سطح بسیار براق استفاده می شود.

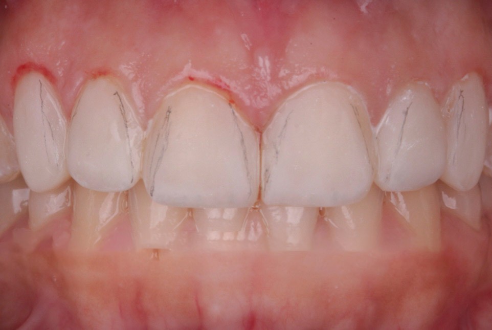
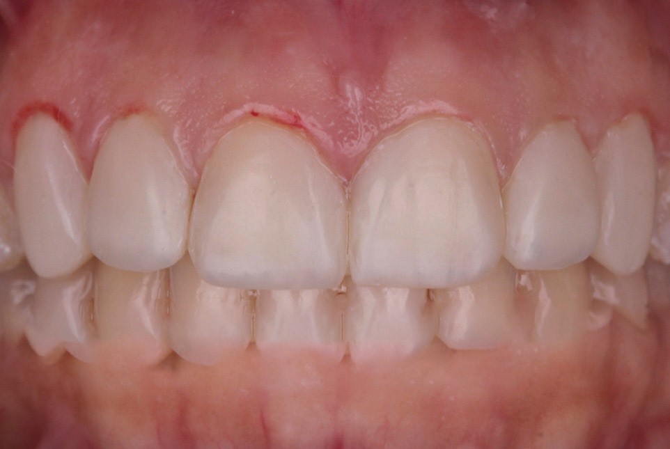
بلافاصله پس از اتمام کار و جلا دادن.

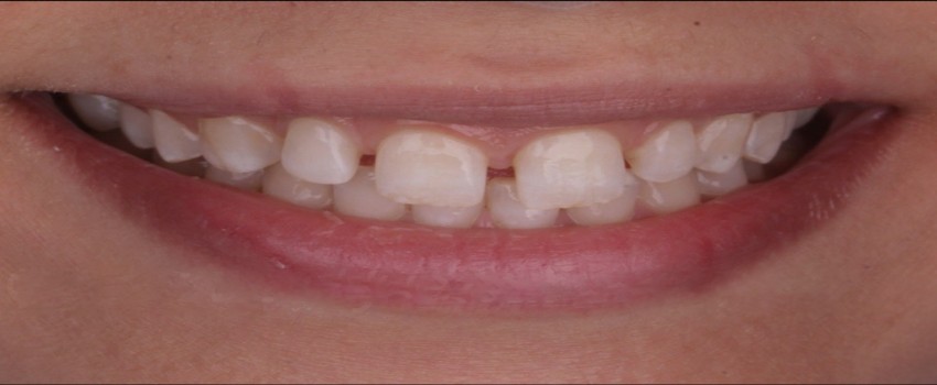
یک هفته بعد پس از اصلاح خط میانی.

یک هفته بعد، نمای جانبی

قبل و بعد.

لبخند مورد رضایت بیمار است.
نتیجه گیری
حتی در موارد پیچیده، ساده ترین گزینه ی درمانی همیشه باید در نظر گرفته شود، به ویژه اگر نیازها و خواسته های بیمار با آن برطرف می شود. ساده ترین گزینه ممکن است بهتر با نیازهای بیمار و پزشک همخوانی داشته باشد.
فاصله بین دندانها را با دو روش ارتودنسی و یا درمانهای زیبایی ( لمینت یا کامپوزیت ونییر) می توان اصلاح کرد .
اگر علت فاصله دندانها مربوط به کمتر بودن مجموع سایز دندانها نسبت به قوس فک باشد ، نمی توان از ارتودنسی استفاده کرد .
| جدول دسترسی سریع، کلیک کنید. |
شرایط اقساط کلینیک سیب سفید به چه صورت است؟ |
تنها تا 15 اسفند ماه: کامپوزیت دندان هر واحد 540 هزار تومان به جای 700 هزار تومانامکان پرداخت اقساط بلند مدتمشاوره از طریق ارسال عکس به واتساپ یا تلگرام09122234921 |
همین حالا کلیک نمایید و عکس لبخندتان را برای ما بفرستید.تا مشاوره و هزینهی حدودی آن از طرف متخصص زیبایی برای شما ارسال گردد.(تصاویر به گونهای که 16 دندان جلو مشخص باشد.) |
دیگر مطالب مفید کلینیک دندانپزشکی سیب سفید:
جهت دریافت نوبت آنلاین در کلینیک دندانپزشکی سیبسفید فرم رزرو را پر کنید تا در اسرع وقت با شما تماس بگیریم.
شما می توانید با وارد کردن ایمیل در خبرنامه عضو شوید.