با پرکردن فرم نوبت خود را رزرو کنید.
کامپوزیت دندان: اگر به دنبال اصلاح لبخند خود هستید لمینت دندان یک راه حل عالی و با هزینه بالا می باشد. کامپوزیت دندان نیز کم تهاجمی(نیاز به تراش دندان ندارد) و ارزان تر است، اما شاید شنیده باشید که ممکن است خوب به نظر نرسد و مستعد خرد شدن باشد. اگر به دنبال یک گزینه بین کامپوزیت ونیر و لمینت دندان با ماندگاری کمتر اما پایدارتر بین لمینت و کامپوزیت می باشید، ممکن است بایوکلیر پاسخ شما باشد!
اگر لبخندتان را به دلایل زیر دوست ندارید:





نگران نباشید مشکلات شما با بایوکلیر حل می شود.
بیشتر بخوانید: چگونه بهترین کامپوزیت دندان مناسب شکل صورت خود را انتخاب کنید؟ هزینه لمینت دندان، طول عمر کامپوزیت دندان، تفاوت لمینت سرامیکی و کامپوزیتی، تفاوت بلیچینگ و کامپوزیت دندان، ایمپلنت چیست؟، ایمپلنت ارزان
فواید استفاده از روش بایوکلیر:

وقتی که می خواهید زیبایی دندان های خود را تقویت کنید معمولاً فقط دو گزینه وجود دارد. لمینت ها جامع ترین و ماندگارترین راه حل هستند اما آنها یک لایه از مینای دندان شما را برمی دارند و آن را به یک روش غیر قابل برگشت تبدیل می کنند. ونیر پرسلن همچنین گزینه ی گران تری می باشد.
"کامپوزیت دندان" ارزان تر از لمینت دندان است، اما زیاد دوام ندارد و به اندازه ونیر پرسلن قوی و پایدار نیست. مطابقت کامپوزیت با رنگ طبیعی دندان تان بسیار سخت تر است و زیبایی نهایی آن به مهارت دندانپزشک بستگی دارد.
این گزینه ها باعث می شود تا بسیاری از بیماران از نحوه انجام کار شان اطمینان نداشته باشند. اگر از پس هزینه ی لمینت دندان برنمی آیید، آیا ریسک کامپوزیت دندان را که نتیجه ای نامشخص و کم دوام دارد را می پذیرید؟ ممکن است بخواهید ونیر پرسلن را انتخاب کنید اما در این که دندان های خود را به شکلی تغییر دهید که قابل برگشت نباشد تردید دارید.
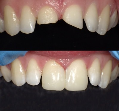
اکنون گزینه ی سومی وجود دارد که بین کامپوزیت ونیر و لمینت دندان قرار می گیرد.دندانپزشکان زیبایی، برای بیمارانی که نقص های زیبایی دارند و می خواهند آنها را برطرف کنند، ونیر های ماتریس بایوکلیر را ارائه می دهد.
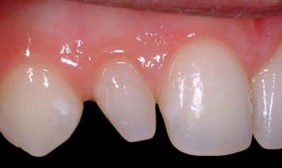
همانطوری که سن مان بالا می رود برخی از ما لبخند مان را در آینه می بینیم و متوجه فضاهای مثلثی کوچکی می شویم که در بین دندان های مان ایجاد می شوند. این فضاها، که دندانپزشکان از آن به عنوان مثلث سیاه یاد می کنند، با عقب رفتن لثه ها شروع به رشد می کنند. بسیاری از بیماران پس از انجام درمان ارتودنسی نیز متوجه آنها می شوند.

در گذشته دندانپزشکان به پیوند کامپوزیت و ونیر پرسلن به عنوان راه حل هایی برای این فضاها روی آوردند. اما بسیاری احساس می کنند که روش پیوند دندان قدیمی شده است و بسیاری از بیماران نمی توانند به راحتی از پس هزینه های ونیرهای پرسلن بربیایند.
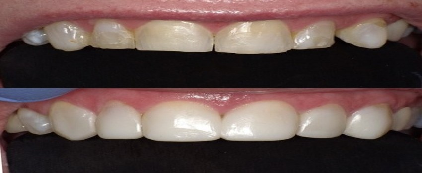
روش Bioclear روشی است که در آن کامپوزیت دندان با استفاده از ماتریس پلاستیکی مخصوصی برای پیچیدن کامپوزیت به دور کل دندان، پر کردن فضای بین دندان ها و ایجاد صحیح دندان کاملاً کاربردی و نیز یک لبخند جذاب و کامل برای بیمار است.
روش کامپوزیت که اغلب مورد استفاده قرار می گیرد ، مبتنی بر تکنیک های قدیمی است. اگرچه جای خود را دارد ، اما کاستی های بسیاری نیز دارد.این پیوندها غالباً لبه هایی را به خود می گیرند که باکتری ها و پلاک ها روی آن گرفتار می شوند که می تواند منجر به رنگ آمیزی ، تراشه ، حفره ها و خونریزی لثه شود. روش Bioclear دندان ها را کاملتر ، قوی تر و زیبا تر می کند ، در حالی که کمترین صدمه ای به دندان وارد نمی کند و باعث برگشت کامل می شود.
لمینت دندان راهی برای تغییر قسمت جلوی دندان ها برای زیبایی بیشتر آنها است ، به ویژه در مورد افرادی که دندان های فرسوده ، تراشیده و پر از شکاف های قدیمی شکسته دارند. روش Bioclear نسبت به پرسلن ونیر ها چند مزیت دارد.
علیرغم آنچه برخی ادعا می کنند ، در بیشتر موارد ، برای قرار دادن لمینت دندان باید ساختار دندان دستکاری شود و دندان کمی تراشیده شود. روش Bioclear یک روشی است که ساختار دندان را تغییر نمی دهد، و آن را قوی تر می سازد.
ونیرهای سرامیکی بسیار قوی هستند ، اما می توانند ایجاد تراشه کنند ، به خصوص در افرادی که دندان قروچه دارند دندان هایشان بیشتر موارد در فشار است. هنگامی که آنها ایجاد تراشه می کنند ، اغلب آنها قابل تعمیر نیستند و باید کاملاً جایگزین شوند ، که می تواند پرهزینه باشد. از آنجا که روش Bioclear از دندانپزشکی کامپوزیت استفاده می کند ، نه سرامیکی ، اگر تراشه دندان ایجاد شود ، می توان آنها را به راحتی ترمیم کرد.
در حالی که قیمت ها متفاوت است ، روش Bioclear معمولاً تقریبا نیمی از هزینه ونیر پرسلن است که این امر را برای بسیاری از افراد مقرون به صرفه تر می کند.
به طور خلاصه Bioclear در سال 2007 توسط دندانپزشک و مخترع، دکتر دیوید کلارک، با هدف ایجاد سیستم جدیدی از محصولات با یک رویکرد مدرن برای دندانپزشکی ترمیمی تاسیس شد. Bioclear Matrix جدیدترین ، مترقی ترین محصولات و تکنیک های تکامل یافته از آماده سازی های سنتی و سیستم های ماتریسینگ برای کامپوزیت های قدامی و خلفی را ارائه می دهد. دکتر دیوید کلارک با آوردن یک بعد جدید به زیبایی شناسی و عملکرد از طریق پیشرفت های رویه ای ، روند ترمیم دندان را تغییر داده است. Bioclear Matrix دگرگونی در صنعت دندانپزشکی است که گزینه های مقرون به صرفه تری با نتایج برتر ارائه می دهد.
منبع مقاله: https://austinartisticdental.com/space-closure-bioclear-method/
| جدول دسترسی سریع، کلیک کنید. |
شرایط اقساط کلینیک سیب سفید به چه صورت است؟ |
اطلاعیه:قیمت لمینت دندان هر واحد 4900هزار تومان و کامپوزیت دندان هر واحد 1400هزار تومان به تعداد محدود تا 5 روز آینده
امکان اقساط تا 70 درصد از کل مبلغبرای مشاوره و ارسال عکس میتوانید با شماره زیر از طریق واتس آپ در ارتباط باشید.09393558965 زیبایی ودرمانی |
جهت دریافت نوبت آنلاین در کلینیک دندانپزشکی سیبسفید فرم رزرو را پر کنید تا در اسرع وقت با شما تماس بگیریم.
شما می توانید با وارد کردن ایمیل در خبرنامه عضو شوید.