با پرکردن فرم نوبت خود را رزرو کنید.
انواع بیماریهای لثه. بیماریهای لثه. درمان بیماریهای لثه. انواع بیماریهای لثه و درمان آنها. علت سیاه شدن لثهها. آبسه دندان. بیماری لوکوپلاکیا. پریودنتال چیست؟ درمان لثههای سفید. عقب رفتگی لثه و درمان آن.
تنها تا 15 اسفند ماه: کامپوزیت دندان هر واحد 540 هزار تومان به جای 700 هزار تومانامکان پرداخت اقساط بلند مدتمشاوره از طریق ارسال عکس به واتساپ یا تلگرام09122234921 |
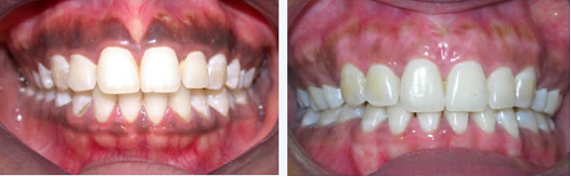
رعایت بهداشت دهان و دندان تنها مختص به دندانها نیست، بلکه برای سلامت لثهها نیز باید تلاش کرد. عدم رعایت موارد بهداشتی در خصوص لثهها، میتواند باعث عفونت لثه و در نتیجه التهابات آن شود. بیماریهای زیادی وجود دارد که مربوط به لثه است و داشتن اطلاعات کافی از انواع بیماریهای لثه و راههای درمان آنها میتواند از بروز بسیاری از مشکلات پیشگیری کند. در این مطلب به چند مورد از مهمترین بیماریهای لثه اشاره کردهایم:
بیماری پریودنتال یا التهابات لثهای به دلیل عفونت لثه و استخوان اطراف دندانها بوجود میآید. علائم اولیهی این بیماری که نشاندهندهی آلودگی لثه با باکتری است، خونریزی و متورم شدن لثهها میباشد. در صورت عدم درمان این بیماری، امکان گسترش آن و در نهایت از بین رفتن دندان و لثهی شما وجود دارد. این بیماری به دو دستهی Gingivitis و Periodontitis تقسیم میشود. Gingivitis التهاب لثه در گردن دندان است ولی Periodontitis التهاب استخوان و بافت دندان است ... (ادامه مطلب)
درمان پریودنتال: در صورت بروز بیماری لثه، اگر این بیماری خفیف باشد یا تا چند روز امکان مراجعه به کلینیک دندانپزشکی نباشد، میتوان با درمانهای خانگی برای مدتی از علائم یا درد این بیماری خلاص شد... (ادامه مطلب)

سیاه شدن لثه و یا تغییرات دیگر روی لثه، ممکن است به دلیل بهداشت دهان و دندان، سیگار کشیدن، مصرف برخی داروها و... باشد. لثه یک بافت با استحکام است که در اطراف دندان قرار دارد و نگهداشتن دندانها در جای خود، وظیفهی آن است. در برخی از موارد تغییر رنگ لثه، طبیعی است ولی در بعضی موارد ممکن است نشانهای از بیماری لثه باشد... (ادامه مطلب)
درمان لثه سیاه: عدم درمان عارضههای مختلف در درازمدت میتواند آسیبهای بیشتری را به بدن وارد کند. برای درمان لثه سیاه راههای درمانی مختلفی مثل لیزر درمانی، جراحی لثه و... (ادامه مطلب)

وقتی دهان و دندان شما از سلامت کامل برخوردار باشد، لثهها به رنگ صورتی و کاملا پایدار هستند. اما گاهی اوقات عدم رعایت بهداشت دهان و دندان، رنگ لثهها را به رنگ سفید تغییر میدهد و یا دچار زخم و التهاب میشود... (ادامه مطلب)
درمان لثه سفید: سفید شدن لثه، دلایل زیادی دارد که متناسب با دلیل بروز، درمان آن نیز متفاوت است. از جمله دلایل سفید شدن لثهها میتوان به کمخونی اشاره کرد که راههای درمان آن، تغییر در رژیم غذایی و مصرف مکملها و مولتی ویتامینها میباشد. دیگر دلایل سفید شدن لثهها ... (ادامه مطلب)
آبسه، غدهای عفونی و چرکی است که در اطراف ریشهی دندان تشکیل میشود. معمولا آبسه بعد از پوسیده شدن دندان بوجود میآید. آبسه دندان بعد از مدتی میتواند به عاج و مینای دندان آسیب برساند.
درمان آبسه دندان: راههای مختلفی برای درمان آبسه وجود دارد که مهمترین آنها، استفاده از آنتیبیوتیک، جراحی، کشیدن دندان و کانال ریشه میباشد... (ادامه مطلب)

این بیماری باعث بوجود آمدن لکههای سفید روی لثه، پوشش دهان و زبان میشود. بعضی از فعالیتهای تحریککننده دهان مثل سیگار کشیدن باعث لوکوپلاکی میشوند. وجود این لکههای سفید بیضرر هستند و بیشتر مواقع به خودی خود درمان میشوند ولی اگر بیماری لوکوپلاکی وجود داشته باشد ممکن است منجر به بروز سرطان دهان (ادامه مطلب)
با بالا رفتن سن، ممکن است لثهها به عقب رانده شوند و یا به تدریج از بین بروند که باعث قرار گرفتن ریشه دندان در معرض نور میشوند. با قرار گرفتن ریشه دندان در معرض نور، شرایط برای پوسیدگی دندان فراهم خواهد شد. دندان پوسیده هم در درازمدت در معرض عفونت قرار گرفته و از بین خواهد رفت... (ادامه مطلب)
درمان عقب رفتگی لثه: بهتر است با رعایت بهداشت دهان و دندان از این بیماری پیشگیری کرد اما در صورت بروز این بیماری راههای زیادی برای درمان وجود دارد. از جملهی این راهها میتوان به جراحی، ترمیم به وسیله کامپوزیت، کامپوزیت صورتی و... اشاره کرد. این عارضه درمان گیاهی نیز دارد، برای درمان گیاهی باید از موادی مثل اکالیپتوس، میخک و... (ادامه مطلب)
تنها تا 15 اسفند ماه: کامپوزیت دندان هر واحد 540 هزار تومان به جای 700 هزار تومانامکان پرداخت اقساط بلند مدتمشاوره از طریق ارسال عکس به واتساپ یا تلگرام09122234921 |
<ذق/>
همین حالا کلیک نمایید و عکس لبخندتان را برای ما بفرستید.تا مشاوره و هزینهی حدودی آن از طرف متخصص زیبایی برای شما ارسال گردد.(تصاویر به گونهای که 16 دندان جلو مشخص باشد.) |
جهت دریافت نوبت آنلاین در کلینیک دندانپزشکی سیبسفید فرم رزرو را پر کنید تا در اسرع وقت با شما تماس بگیریم.
شما می توانید با وارد کردن ایمیل در خبرنامه عضو شوید.